Chào mừng bạn đến với chuyên mục kiến thức nha khoa của Nha khoa Xanh Dental. Bạn đã bao giờ cảm thấy bề mặt phía sau răng cửa của mình trở nên thô ráp, hoặc dù đã đánh răng rất kỹ nhưng hơi thở vẫn có mùi khó chịu? Đó chính là dấu hiệu cho thấy cao răng đang âm thầm tấn công và phá hủy sức khỏe răng miệng của bạn. Trong khi tiêu chuẩn về nụ cười không chỉ là trắng sáng mà còn phải khỏe mạnh từ gốc, việc hiểu rõ và xử lý vôi răng là ưu tiên hàng đầu.
Bài viết này được sự cố vấn chuyên môn từ ThS.BS Nguyễn Anh Sơn, người đã có hơn 22 năm tu nghiệp tại các nền y khoa tiên tiến như Mỹ và Đức, sẽ giúp bạn có cái nhìn toàn diện nhất về kẻ thù giấu mặt này.
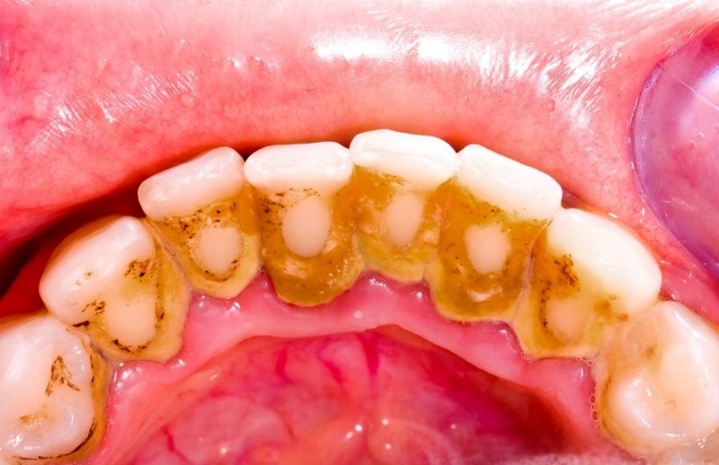
Cao răng là gì và tại sao chúng ta không thể đánh răng sạch?

Để hiểu tại sao chúng ta cần sự can thiệp của bác sĩ, trước hết cần hiểu bản chất hóa sinh của mảng bám. Cao răng, hay còn gọi là vôi răng, thực chất là những mảng bám thức ăn thừa, vi khuẩn và các mảnh vụn tế bào đã bị vôi hóa bởi các khoáng chất như canxi và phốt phát có sẵn trong nước bọt.
Quá trình hình thành và tích tụ vi khuẩn
Quá trình này diễn ra nhanh hơn bạn tưởng rất nhiều. Chỉ sau khoảng 15 đến 30 phút sau khi ăn, một lớp màng sinh học mỏng sẽ bao phủ lên bề mặt răng. Nếu lớp màng này không được làm sạch bằng bàn chải hoặc chỉ nha khoa, vi khuẩn sẽ đến trú ngụ và tạo thành mảng bám. Sau khoảng 24 đến 48 giờ, dưới tác động của các ion khoáng trong nước bọt, mảng bám này bắt đầu cứng lại và bám chặt vào men răng, hình thành nên vôi răng.
Một khi đã chuyển sang trạng thái vôi hóa, các sợi lông bàn chải đánh răng thông thường hoàn toàn không thể loại bỏ được chúng. Đây là lý do vì sao ngay cả những người chăm chỉ đánh răng nhất vẫn có thể thấy vôi răng xuất hiện ở những vùng khó làm sạch như mặt trong của răng cửa hàm dưới hoặc các răng hàm phía trong cùng.
Phân loại vôi răng phổ biến hiện nay
Dựa trên mức độ tích tụ và vị trí bám, các bác sĩ tại Nha khoa Xanh Dental thường phân loại như sau:
-
Cao răng độ 1: Đây là giai đoạn khởi phát, mảng bám có màu trắng đục hoặc vàng nhạt, thường nằm ở trên nướu. Ở giai đoạn này, nó chưa gây ra những tổn thương nghiêm trọng nhưng đã bắt đầu làm mất thẩm mỹ.
-
Cao răng độ 2 và độ 3: Mảng vôi trở nên dày hơn, cứng hơn và bắt đầu len lỏi xuống dưới nướu, tạo ra các túi nha chu.
-
Cao răng đen: Đây là mức độ nguy hiểm nhất. Màu đen xuất hiện do máu từ nướu bị viêm chảy ra và thấm vào mảng vôi, hoặc do tác động của nhựa thuốc lá, trà và cà phê lâu ngày. Vôi răng đen là nơi tập trung nồng độ vi khuẩn cực cao, gây ra tình trạng phá hủy xương hàm nhanh chóng.
>>> Xem thêm: Nhiệt miệng ở lưỡi là gì? Nguyên nhân và cách xử lý
Tác hại khôn lường khi để cao răng tích tụ lâu ngày

Nhiều người thường chủ quan rằng vôi răng chỉ là vấn đề thẩm mỹ nhẹ, nhưng thực tế đây là nguồn cơn của hầu hết các bệnh lý răng miệng nghiêm trọng.
Hôi miệng kinh niên và sự tự ti trong giao tiếp
Vi khuẩn trú ngụ trong các hốc hẻm của mảng vôi răng liên tục phân hủy các hợp chất hữu cơ và giải phóng các khí lưu huỳnh có mùi nồng nặc. Tình trạng này tạo ra hơi thở có mùi khó chịu mà không có bất kỳ loại nước súc miệng hay kẹo cao su nào có thể che giấu hoàn toàn. Tại Xanh Dental, chúng tôi đã tiếp nhận nhiều khách hàng rơi vào trạng thái mặc cảm kéo dài chỉ vì hơi thở kém thơm mát do vôi răng gây ra.
Viêm lợi, tụt nướu và chân răng trông dài ra
Vôi răng là một vật thể lạ gây kích ứng mô nướu thường xuyên. Cơ thể sẽ phản ứng bằng cách gây viêm, khiến nướu sưng đỏ, đau nhức và rất dễ chảy máu mỗi khi đánh răng. Khi vôi răng tiến sâu xuống dưới, nó sẽ đẩy nướu tách khỏi chân răng, dẫn đến tình trạng tụt nướu. Khi nướu tụt xuống, chân răng sẽ bị lộ ra, làm răng trông dài hơn bình thường và trở nên cực kỳ nhạy cảm với nhiệt độ nóng hoặc lạnh.
Viêm nha chu và nguy cơ mất răng vĩnh viễn
Khi viêm nhiễm không được kiểm soát, nó sẽ lan sâu xuống các mô nâng đỡ răng bao gồm dây chằng nha chu và xương ổ răng. Đây là bệnh viêm nha chu. Xương hàm bị tiêu biến dần khiến răng không còn chỗ bám trụ, bắt đầu lung lay và cuối cùng là rơi ra hoàn toàn. Việc trồng lại răng giả sau khi mất răng do nha chu thường phức tạp và tốn kém hơn nhiều lần so với việc vệ sinh răng miệng định kỳ.
Mối liên hệ với các bệnh lý toàn thân
Các nghiên cứu y khoa hiện đại năm 2026 đã chỉ ra rằng vi khuẩn từ ổ viêm quanh răng có thể xâm nhập vào dòng máu. Điều này làm tăng nguy cơ mắc các bệnh tim mạch, đột quỵ và gây khó khăn trong việc kiểm soát đường huyết ở bệnh nhân tiểu đường. Phụ nữ mang thai bị viêm nha chu nặng cũng có nguy cơ sinh non hoặc sinh con nhẹ cân cao hơn bình thường.
>>> Xem thêm: Cách trị nhức răng có lỗ an toàn và hiệu quả nhất
Cách làm rụng cao răng tại nhà có thực sự hiệu quả?

Trên các diễn đàn làm đẹp năm 2026, những mẹo tự tẩy vôi răng tại nhà luôn thu hút sự quan tâm lớn. Tuy nhiên, dưới góc độ chuyên môn của ThS.BS Nguyễn Anh Sơn, chúng ta cần có cái nhìn thấu đáo về tính hiệu quả và độ an toàn của chúng.
Mẹo dùng baking soda và chanh
Đây là phương pháp dựa trên nguyên lý bào mòn hóa học. Baking soda có tính kiềm nhẹ kết hợp với axit citric trong chanh giúp làm mềm mảng bám. Tuy nhiên, nếu lạm dụng hoặc pha trộn sai tỷ lệ, nồng độ axit cao sẽ làm mòn men răng, gây ê buốt kéo dài và khiến răng dễ bị sạm màu hơn do bề mặt men răng trở nên nhám.
Sử dụng vỏ cam và vỏ chuối
Trong vỏ cam và vỏ chuối chứa các enzyme tự nhiên như bromelain hoặc papain cùng các khoáng chất như kali, mangan. Việc chà xát mặt trong của vỏ trái cây lên răng có thể giúp làm sáng bề mặt và hỗ trợ làm mềm một phần mảng bám mới hình thành. Phương pháp này khá an toàn nhưng hiệu quả đối với các mảng vôi cứng đã lâu ngày là gần như bằng không.
Trị cao răng bằng muối và dầu dừa
Phương pháp súc dầu, hay còn gọi là oil pulling, sử dụng dầu dừa để hòa tan các mảng bám gốc dầu và vi khuẩn trong khoang miệng. Muối giúp sát khuẩn nhẹ. Đây là một thói quen tốt để hỗ trợ vệ sinh răng miệng hằng ngày, giúp hơi thở thơm mát và giảm viêm lợi nhẹ, nhưng nó hoàn toàn không thể thay thế được lực rung siêu âm chuyên dụng để tách vôi răng.
Lời khuyên chân thành từ chuyên gia
Tất cả các mẹo tại nhà chỉ nên xem là biện pháp hỗ trợ để hạn chế mảng bám mới. Một khi mảng bám đã hóa cứng thành cao răng, việc tự ý sử dụng các vật nhọn để cạy hoặc dùng hóa chất mạnh tại nhà là cực kỳ nguy hiểm. Nó có thể gây tổn thương nướu nghiêm trọng, nhiễm trùng và hỏng men răng vĩnh viễn. Giải pháp thông minh nhất luôn là tìm đến sự chăm sóc chuyên nghiệp tại các địa chỉ uy tín như Nha khoa Xanh Dental.
>>> Xem thêm: 10 Cách trị hôi miệng tận gốc tốt nhất hiện nay
Tại sao cao răng tự rơi ra là dấu hiệu đáng lo ngại?
Nhiều khách hàng khi thấy một mảnh vôi răng lớn tự vỡ và rơi ra thường cảm thấy vui mừng vì cho rằng răng đã sạch hơn. Tuy nhiên, sự thật lại hoàn toàn trái ngược.
Khi vôi răng tích tụ quá dày, nó trở nên giòn và dễ bị vỡ dưới tác động của lực nhai. Việc một mảng vôi tự rơi ra đồng nghĩa với việc bên dưới đó, nướu và xương hàm của bạn đã bị tổn thương trong một thời gian dài. Khi mảng vôi rơi ra, nướu vốn đã bị tụt sẽ lộ ra một khoảng trống lớn, khiến răng trở nên cực kỳ ê buốt và dễ bị tấn công bởi vi khuẩn mới. Đây là tiếng chuông cảnh báo đỏ, yêu cầu bạn phải đến gặp bác sĩ ngay lập tức để làm sạch toàn bộ các mảng bám còn lại và điều trị phục hồi mô nướu.
>>> Xem thêm: Áp xe răng là gì? Nguyên nhân, triệu chứng và cách điều trị
Quy trình lấy cao răng không đau bằng công nghệ siêu âm tại Xanh Dental

Tại Nha khoa Xanh Dental, chúng tôi hiểu rằng nỗi sợ đau và tiếng kêu của máy móc là rào cản khiến nhiều người trì hoãn việc lấy vôi răng. Vì vậy, chúng tôi đã tiên phong ứng dụng những công nghệ hiện đại nhất để mang lại trải nghiệm hoàn toàn khác biệt.
Công nghệ Piezosurgery: Bước đột phá trong vệ sinh răng miệng
Thay vì các đầu kim loại tác động lực cơ học mạnh, công nghệ Piezosurgery sử dụng sóng siêu âm với tần số dao động linh hoạt. Đầu rung siêu âm sẽ nhẹ nhàng làm rã các liên kết của mảng vôi và khiến chúng tự bong ra mà không cần phải cạo mạnh hay làm tổn thương men răng. Sóng siêu âm còn có khả năng len lỏi sâu xuống dưới nướu để làm sạch các túi nha chu, điều mà phương pháp thủ công khó lòng thực hiện hoàn hảo.
Quy trình 4 bước chuẩn y khoa tại Xanh Dental
Chúng tôi thực hiện việc vệ sinh răng miệng theo một lộ trình khép kín, đảm bảo an toàn và hiệu quả tối đa cho khách hàng:
-
Thăm khám và tư vấn: Bác sĩ sử dụng camera nội soi để khách hàng nhìn thấy rõ các vùng vôi răng bám bẩn. Việc xác định mức độ vôi răng giúp bác sĩ điều chỉnh tần số sóng siêu âm phù hợp.
-
Lấy cao răng siêu âm: Bác sĩ sử dụng đầu rung siêu âm đi nhẹ nhàng qua từng kẽ răng và bề mặt răng. Toàn bộ mảng bám, vết dính thực phẩm sẽ bị loại bỏ sạch sẽ. Khách hàng chỉ cảm thấy hơi tê nhẹ như có luồng nước mát đi qua, hoàn toàn không có cảm giác đau buốt hay chảy máu.
-
Đánh bóng và tái khoáng: Sau khi lấy vôi, bề mặt răng sẽ được đánh bóng bằng bột chuyên dụng và bôi một lớp gel fluoride cao cấp. Bước này giúp bề mặt răng trở nên trơn láng, khiến mảng bám mới khó có cơ hội bám lại và tăng cường độ cứng cho men răng.
-
Hướng dẫn chăm sóc hằng ngày: Bác sĩ sẽ hướng dẫn bạn kỹ thuật đánh răng đúng cách, cách sử dụng chỉ nha khoa và máy tăm nước để duy trì kết quả lâu nhất có thể.
>>> Xem ngay: bảng giá dịch vụ nha khoa tổng quát
Tại sao nên chọn Nha khoa Xanh Dental để vệ sinh răng miệng?

Giữa hàng ngàn phòng khám nha khoa tại Hà Nội, Nha khoa Xanh Dental luôn khẳng định vị thế dẫn đầu nhờ sự kết hợp giữa tâm huyết và công nghệ.
Đội ngũ bác sĩ tinh hoa dẫn dắt bởi ThS.BS Nguyễn Anh Sơn
Mọi quy trình điều trị tại đây đều được giám sát và thực hiện bởi những bác sĩ giàu kinh nghiệm. ThS.BS Nguyễn Anh Sơn không chỉ là một bác sĩ giỏi chuyên môn mà còn là người luôn đặt y đức lên hàng đầu. Sự tỉ mỉ trong từng thao tác và sự thấu cảm với lo lắng của bệnh nhân là những giá trị cốt lõi làm nên thương hiệu của chúng tôi.
Trang thiết bị hiện đại và hệ thống vô trùng chuẩn quốc tế
Chúng tôi sở hữu hệ thống phòng Lab hiện đại và các máy móc nhập khẩu trực tiếp từ Châu Âu. Đặc biệt, quy trình vô trùng tại Xanh Dental được thực hiện khắt khe theo tiêu chuẩn của Bộ Y tế. Mỗi khách hàng sẽ sử dụng một bộ dụng cụ riêng biệt, loại bỏ hoàn toàn nguy cơ lây nhiễm chéo.
Chính sách Bảo hiểm Y tế và Trách nhiệm xã hội
Một ưu điểm lớn khi lấy vôi răng tại Xanh Dental là chúng tôi hỗ trợ bảo hiểm y tế. Khách hàng có thể được giảm ngay 30 phần trăm chi phí cho các dịch vụ chăm sóc răng miệng định kỳ. Đây là nỗ lực của chúng tôi nhằm giúp dịch vụ nha khoa chất lượng cao trở nên dễ tiếp cận hơn với mọi người dân. Ngoài ra, chúng tôi thường xuyên tổ chức các chương trình thăm khám miễn phí cho cộng đồng, thể hiện trách nhiệm của một đơn vị y tế uy tín.
Các câu hỏi thường gặp FAQ về vệ sinh răng miệng
Dưới đây là tổng hợp những băn khoăn của khách hàng được giải đáp bởi đội ngũ bác sĩ Xanh Dental.
Lấy cao răng có làm mòn men răng không?
Đây là nỗi lo phổ biến nhất. Thực tế, với công nghệ siêu âm hiện đại, đầu rung chỉ tác động lên mảng vôi cứng mà không hề xâm lấn hay mài mòn men răng. Ngược lại, việc loại bỏ vôi răng chính là cách tốt nhất để bảo vệ men răng khỏi sự phá hủy của axit từ vi khuẩn.
Bao lâu thì nên đi lấy cao răng một lần?
Theo khuyến cáo của hiệp hội nha khoa quốc tế, thời gian lý tưởng là 6 tháng 1 lần. Tuy nhiên, đối với những người có cơ địa nước bọt nhiều khoáng chất, hay hút thuốc lá hoặc đang thực hiện niềng răng, thời gian này có thể rút ngắn xuống còn 3 đến 4 tháng 1 lần để đảm bảo sức khỏe tối ưu.
Lấy cao răng về bị ê buốt thì phải làm sao?
Cảm giác ê buốt nhẹ sau khi lấy vôi răng là hoàn toàn bình thường, đặc biệt là với những người có lượng vôi răng dày hoặc bị tụt nướu. Tình trạng này sẽ tự biến mất sau 1 đến 2 ngày khi nướu bắt đầu ôm sát lại chân răng. Bạn nên tránh ăn đồ quá nóng hoặc quá lạnh trong thời gian này và sử dụng kem đánh răng dành cho răng nhạy cảm theo hướng dẫn của bác sĩ.
Lời kết
Cao răng không chỉ đơn thuần là vấn đề thẩm mỹ, nó là mầm mống của sự hủy hoại sức khỏe toàn diện. Việc chăm sóc răng miệng không chỉ dừng lại ở bàn chải đánh răng tại nhà mà cần một kế hoạch bảo trì chuyên nghiệp định kỳ. Đầu tư vào việc vệ sinh răng miệng hôm nay chính là cách bạn tiết kiệm hàng trăm triệu đồng chi phí phục hình răng trong tương lai.
Hãy để Nha khoa Xanh Dental đồng hành cùng bạn trên hành trình chinh phục nụ cười tự tin và hơi thở thơm mát. Đừng để những mảng bám xù xì ngăn cản bạn tỏa sáng.

ThS.BS Nguyễn Anh Sơn Vị trí: Giám đốc chuyên môn Nha khoa Xanh Dental. Được thành lập từ năm 2008, Nha khoa Xanh Dental với 17 năm kinh nghiệm và hệ thống máy móc hiện đại, luôn tiên phong trong việc mang đến những dịch vụ nha khoa chất lượng cao cho khách hàng.
