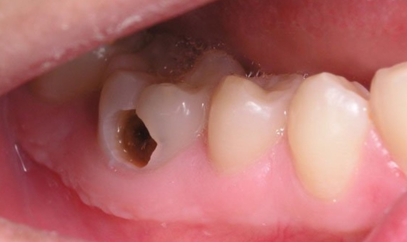
Cơn đau nhức răng do sâu răng có lỗ là một trong những nỗi ám ảnh kinh khủng nhất đối với sức khỏe con người. Những cơn nhức buốt thấu xương, đặc biệt là khi thức ăn lọt vào lỗ sâu hoặc khi đêm về, không chỉ gây ảnh hưởng đến việc ăn uống mà còn làm suy giảm nghiêm trọng chất lượng cuộc sống và tinh thần của người bệnh. Tại Nha khoa Xanh Dental, với hơn 17 năm kinh nghiệm kiến tạo nụ cười, chúng tôi thấu hiểu sâu sắc những đau đớn mà khách hàng phải trải qua. Bài viết dưới đây, với sự cố vấn chuyên môn trực tiếp từ ThS.BS Nguyễn Anh Sơn, sẽ cung cấp cho bạn lộ trình chi tiết về cách trị nhức răng có lỗ từ các mẹo giảm đau cấp tốc tại nhà đến các giải pháp điều trị triệt để tại nha khoa.
Tại sao răng có lỗ lại gây đau nhức dữ dội?

Để tìm ra cách trị nhức răng có lỗ hiệu quả, trước hết chúng ta cần đi sâu vào bản chất sinh học và hóa học của tình trạng này. Răng của chúng ta được cấu tạo từ 3 lớp chính: men răng ngoài cùng, ngà răng ở giữa và tủy răng nằm sâu trong cùng.
Cơ chế gây đau
Khi vi khuẩn tấn công, chúng phá hủy lớp men răng cứng cáp và lớp ngà răng bảo vệ. Khi lỗ sâu tiến triển đủ rộng và sâu, các đầu dây thần kinh bên trong tủy răng sẽ bị lộ ra. Lúc này, bất kỳ tác động nào từ thực phẩm nóng, lạnh, chua, cay hoặc áp lực khi nhai đều kích thích trực tiếp lên dây thần kinh, gây ra cảm giác đau buốt dữ dội.
Tác động hóa sinh
Vi khuẩn chính gây sâu răng là Streptococcus mutans. Chúng tiêu thụ đường từ thức ăn và giải phóng axit. Quá trình này làm giảm độ pH trong khoang miệng. Khi chỉ số pH giảm xuống dưới 5.5, phản ứng khử khoáng xảy ra, làm tan rã các tinh thể Hydroxyapatite cấu tạo nên răng. Phản ứng hóa học mô tả sự mất khoáng như sau:
Ca10(PO4)6(OH)2 + 8H+ -> 10Ca2+ + 6HPO42- + 2H2O
Sự tích tụ thức ăn
Lỗ hổng trên răng đóng vai trò như một hầm chứa thực phẩm. Khi bạn ăn nhai, vụn thức ăn lọt vào lỗ sâu, bị vi khuẩn phân hủy ngay tại chỗ, tạo ra nồng độ axit cao và gây sức ép vật lý lên các mô tủy nhạy cảm, dẫn đến những cơn đau kéo dài không dứt.
Các cách trị nhức răng có lỗ tạm thời tại nhà
Trong trường hợp bạn chưa thể đến ngay phòng khám nha khoa, bạn có thể áp dụng các biện pháp giảm đau tạm thời. Đây là những cách trị nhức răng có lỗ dân gian có tác dụng xoa dịu cơn đau cấp thiết.
Sử dụng nước muối sinh lý

Tác dụng: Muối có đặc tính sát khuẩn tự nhiên rất mạnh. Nước muối giúp làm sạch vi khuẩn trong khoang miệng, giảm sưng nướu và giúp loại bỏ vụn thức ăn bị kẹt trong lỗ răng sâu.
Cách thực hiện: Pha 1 thìa cà phê muối với 200 ml nước ấm. Súc miệng kỹ trong khoảng 30 đến 60 giây, tập trung vào vùng răng bị đau. Bạn nên thực hiện việc này 4 đến 5 lần mỗi ngày để giữ khoang miệng sạch sẽ.
Trị nhức răng bằng tỏi hoặc gừng
Thành phần hóa học: Tỏi chứa Allicin, một hoạt chất kháng sinh tự nhiên mạnh mẽ. Gừng chứa Oleoresin và Tecpen có khả năng giảm đau và chống viêm.
Cách thực hiện: Giã nát một tép tỏi cùng một vài hạt muối trắng, sau đó đắp trực tiếp hỗn hợp này vào lỗ răng sâu. Đối với gừng, bạn có thể thái lát mỏng và cắn chặt tại vị trí răng đau trong khoảng 5 đến 10 phút.
Sử dụng đinh hương hoặc tinh dầu đinh hương
Cơ chế: Đinh hương chứa Eugenol, một hợp chất hóa học có tác dụng gây tê và kháng khuẩn cực tốt. Đây là thành phần thường thấy trong các vật liệu nha khoa chuyên dụng.
Cách thực hiện: Dùng tăm bông thấm tinh dầu đinh hương rồi chấm trực tiếp vào lỗ sâu. Nếu không có tinh dầu, bạn có thể dùng nụ đinh hương khô, nhai nhẹ để tinh dầu tiết ra và bao phủ vùng răng đau.
Chườm lạnh từ bên ngoài
Tác dụng: Nhiệt độ thấp làm co mạch máu, giảm lưu lượng máu đến vùng bị viêm, từ đó làm giảm cảm giác đau buốt và sưng tấy.
Cách thực hiện: Dùng túi đá hoặc khăn lạnh chườm lên vùng má bên ngoài vị trí răng bị nhức trong khoảng 15 đến 20 phút. Lưu ý không chườm đá trực tiếp lên da để tránh bị bỏng lạnh.
Lưu ý từ bác sĩ: Các cách trị nhức răng có lỗ tại nhà chỉ mang tính chất tạm thời. Không thể làm lành lỗ sâu hay tiêu diệt hoàn toàn vi khuẩn sâu răng. Nếu bạn chủ quan, tình trạng nhiễm trùng sẽ lan rộng gây viêm tủy răng và áp xe xương hàm nguy hiểm.
Giải pháp điều trị triệt để tại Nha khoa Xanh Dental

Tại Xanh Dental, chúng tôi ưu tiên việc bảo tồn răng thật tối đa. Tùy vào mức độ hư tổn của lỗ sâu, các bác sĩ sẽ đưa ra phác đồ điều trị phù hợp nhất.
Hàn trám răng thẩm mỹ
Chỉ định: Dành cho các răng sâu có lỗ nhỏ đến trung bình, chưa xâm phạm vào tủy.
Vật liệu: Chúng tôi sử dụng Composite cao cấp nhập khẩu, có màu sắc tương đồng 100 với răng thật.
Quy trình: Bác sĩ sẽ làm sạch toàn bộ mô răng bị sâu, sau đó tạo hình và trám bít lỗ hổng bằng vật liệu thẩm mỹ. Quá trình này được hỗ trợ bởi đèn quang trùng hợp giúp miếng trám cứng chắc ngay lập tức, phục hồi chức năng ăn nhai hoàn hảo.
Điều trị nội nha hay còn gọi là lấy tủy răng
Chỉ định: Khi vi khuẩn đã xâm nhập vào buồng tủy gây viêm tủy cấp hoặc hoại tử tủy.
Công nghệ: Nha khoa Xanh Dental sử dụng máy định vị chóp và hệ thống trâm máy hiện đại.
Quy trình: Bác sĩ mở tủy, lấy sạch các mô tủy nhiễm trùng, sát khuẩn ống tủy và trám bít bằng vật liệu sinh học chuyên dụng. Đây là cách trị nhức răng có lỗ triệt để nhất khi răng đã bị viêm tủy, giúp ngăn chặn tình trạng mất răng.
Bọc răng sứ bảo tồn
Chỉ định: Dành cho răng có lỗ sâu quá lớn, mô răng còn lại ít hoặc răng sau khi điều trị tủy.
Lợi ích: Răng sau khi lấy tủy thường giòn và dễ vỡ. Việc bọc một mão sứ cứng chắc bên ngoài giúp bảo vệ răng thật khỏi lực nhai mạnh, đảm bảo độ bền lên đến 20 năm.
Thẩm mỹ: Với công nghệ CAD/CAM tại phòng Lab riêng của Xanh Dental, răng sứ được chế tác tinh xảo, tự nhiên như răng thật.
Công nghệ Veneer sinh học 5.0
Chỉ định: Với những răng sâu ở vùng răng cửa, dán sứ Veneer là lựa chọn tối ưu để vừa che đi lỗ sâu vừa đảm bảo thẩm mỹ sinh học tuyệt đối.
Đặc điểm: Độ mỏng chỉ từ 0.3 đến 0.5 mm, không mài nhỏ răng thật, bảo tồn men răng tối đa.
Tại sao nên thực hiện điều trị nhức răng có lỗ tại Nha khoa Xanh Dental?

Giữa hàng trăm cơ sở nha khoa, Xanh Dental luôn là điểm đến tin cậy tại Hà Nội nhờ những giá trị vượt trội sau:
Đội ngũ bác sĩ chuyên nghiệp: Người dẫn dắt chuyên môn tại phòng khám là ThS.BS Nguyễn Anh Sơn. Bác sĩ Sơn có hơn 22 năm kinh nghiệm thực chiến, từng tốt nghiệp xuất sắc Đại học Y Hà Nội năm 2002 và hoàn thành các chương trình tu nghiệp chuyên sâu tại Harvard (Mỹ), Đức, Nhật Bản và Ý. Sự am hiểu tường tận về cấu trúc răng và hệ thống dây thần kinh giúp quá trình điều trị diễn ra chính xác và không đau đớn.
Hệ thống phòng Lab hiện đại: Chúng tôi đầu tư phòng Labo công nghệ cao ngay tại chỗ với máy in 3D và hệ thống quét răng Trios hiện đại. Điều này cho phép sản xuất miếng trám sứ hoặc mão răng sứ chỉ trong thời gian ngắn, đảm bảo độ khít sát tuyệt đối và tính thẩm mỹ cao nhất.
Quy trình vô trùng tuyệt đối: Mọi dụng cụ điều trị tại Xanh Dental đều được hấp sấy chuẩn y khoa và đóng gói riêng biệt cho từng khách hàng. Điều này loại bỏ hoàn toàn nguy cơ lây nhiễm chéo, đảm bảo an toàn tuyệt đối cho sức khỏe của bạn.
Hỗ trợ Bảo hiểm Y tế: Nha khoa Xanh Dental thực hiện trách nhiệm xã hội bằng việc hỗ trợ tối đa chi phí cho khách hàng. Với chính sách bảo hiểm y tế, khách hàng được giảm ngay 30 phần trăm chi phí cho các dịch vụ điều trị bệnh lý như lấy tủy, trám răng sâu hay điều trị viêm nha chu.
Chi phí điều trị răng sâu có lỗ bao nhiêu tiền?
Tại Xanh Dental, chúng tôi cam kết sự minh bạch về tài chính. Chi phí điều trị sẽ phụ thuộc vào các yếu tố:
-
Mức độ tổn thương: Hàn trám răng sâu đơn thuần có mức giá thấp hơn so với việc điều trị tủy phức tạp.
-
Vị trí răng: Răng hàm có nhiều ống tủy (từ 3 đến 4 ống) sẽ có chi phí cao hơn răng cửa (thường chỉ 1 ống).
-
Vật liệu phục hình: Loại răng sứ bạn chọn sau khi chữa tủy sẽ quyết định tổng chi phí cuối cùng.
-
Quyền lợi bảo hiểm: Khách hàng sử dụng bảo hiểm y tế sẽ tiết kiệm được một khoản chi phí không nhỏ.
Chúng tôi công khai bảng giá rõ ràng trên website và tư vấn cụ thể trước khi bắt đầu thực hiện để khách hàng hoàn toàn yên tâm.
>>> Xem ngay: bảng giá dịch vụ nha khoa tổng quát
Những lưu ý sau khi điều trị răng có lỗ
Để duy trì hiệu quả bền lâu sau khi áp dụng các cách trị nhức răng có lỗ chuyên sâu, bạn cần tuân thủ các chỉ dẫn của bác sĩ:
Chế độ ăn uống: Tránh ăn thức ăn quá cứng, quá dai hoặc quá nóng ngay sau khi vừa hàn trám hoặc bọc sứ. Hạn chế thực phẩm chứa nhiều đường và axit để ngăn ngừa sâu răng tái phát tại các vị trí khác.
Vệ sinh răng miệng: Chải răng 2 lần hằng ngày bằng bàn chải lông mềm. Kết hợp sử dụng chỉ nha khoa và máy tăm nước để làm sạch hoàn toàn các kẽ răng và vùng xung quanh răng sứ. Súc miệng bằng nước súc miệng chứa Flour để tái khoáng hóa men răng.
Khám định kỳ: Đến Nha khoa Xanh Dental 6 tháng 1 lần để bác sĩ kiểm tra độ khít sát của miếng trám hoặc mão sứ, lấy cao răng và phát hiện sớm các vấn đề răng miệng tiềm ẩn.
>>> Xem thêm: 7 Cách làm trắng răng tại nhà hiệu quả từ nguyên liệu tự nhiên
Các câu hỏi thường gặp FAQ về nhức răng sâu
Răng có lỗ sâu to có trám được không? Trả lời: Nếu chân răng vẫn vững chắc và mô răng thật còn đủ để nâng đỡ miếng trám, bác sĩ tại Xanh Dental vẫn ưu tiên hàn trám bảo tồn. Trong trường hợp lỗ sâu quá lớn, giải pháp bọc răng sứ sẽ được đề xuất để đảm bảo độ bền tối ưu.
Nhức răng có lỗ có nên tự mua thuốc giảm đau? Trả lời: Tuyệt đối không nên lạm dụng thuốc kháng sinh hoặc giảm đau mà không có chỉ định của bác sĩ. Việc dùng thuốc sai cách có thể gây nhờn thuốc và làm lu mờ triệu chứng bệnh, dẫn đến những biến chứng nghiêm trọng hơn.
Lấy tủy răng sâu có lỗ có đau không? Trả lời: Với kỹ thuật gây tê hiện đại và máy điều trị tủy nội nha tại Nha khoa Xanh Dental, quá trình lấy tủy diễn ra hoàn toàn nhẹ nhàng. Bạn sẽ không cảm thấy đau đớn trong suốt quá trình bác sĩ thực hiện.
Kết luận và Lời khuyên từ chuyên gia
Cách trị nhức răng có lỗ hiệu quả nhất chính là việc điều trị sớm ngay khi phát hiện những dấu hiệu đầu tiên. Đừng chờ đợi đến khi cơn đau trở nên dữ dội mới tìm đến nha sĩ, bởi khi đó tủy răng có thể đã bị tổn thương không thể hồi phục. Việc chăm sóc răng miệng đúng cách và khám định kỳ tại các địa chỉ uy tín như Nha khoa Xanh Dental là chìa khóa vàng để bảo vệ nụ cười của bạn.
Chúng tôi hiểu rằng mỗi cơn đau răng là một nỗi lo lắng lớn. Với đội ngũ bác sĩ tinh hoa dẫn dắt bởi ThS.BS Nguyễn Anh Sơn cùng trang thiết bị hiện đại, Xanh Dental cam kết mang lại sự an tâm và nụ cười rạng rỡ nhất cho khách hàng. Đừng để cơn nhức răng làm phiền cuộc sống của bạn thêm bất kỳ giây phút nào nữa.
Thông tin liên hệ Nha khoa Xanh Dental:
-
Địa chỉ: 182 Cầu Giấy – Nghĩa Đô – Cầu Giấy – Hà Nội.
-
Hotline hỗ trợ: 0869 019 000.
-
Trang web: xanhdental.vn.
-
Thời gian làm việc: mở cửa từ 8 giờ 00 đến 19 giờ 30 tất cả các ngày trong tuần.

ThS.BS Nguyễn Anh Sơn Vị trí: Giám đốc chuyên môn Nha khoa Xanh Dental. Được thành lập từ năm 2008, Nha khoa Xanh Dental với 17 năm kinh nghiệm và hệ thống máy móc hiện đại, luôn tiên phong trong việc mang đến những dịch vụ nha khoa chất lượng cao cho khách hàng.
