
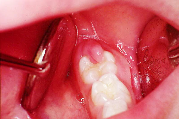
Viêm lợi trùm (Pericoronitis) là một trạng thái bệnh lý nhiễm trùng khu trú tại tổ chức mô mềm bao quanh thân răng đang trong quá trình mọc, phổ biến nhất là răng khôn (răng số 8). Tình trạng này phát sinh do sự hình thành một vạt nướu che phủ một phần bề mặt răng, tạo ra một khoang trống sinh học tạo điều kiện cho vi khuẩn kỵ khí và mảng bám thức ăn tích tụ. Nếu không được chẩn đoán và xử lý bằng các phác đồ y khoa chuyên sâu, viêm lợi trùm có thể dẫn đến các biến chứng lan tỏa sang vùng hàm mặt và ảnh hưởng đến sức khỏe hệ thống. Bài viết sau đây cung cấp thông tin chuyên môn về cơ chế bệnh lý, các giai đoạn tiến triển và giải pháp can thiệp hiện đại tại hệ thống Nha khoa Xanh Dental.
Bản chất y khoa và phân loại viêm lợi trùm

Viêm lợi trùm được xác định là phản ứng viêm nhiễm của mô nướu đối với các tác nhân vi khuẩn tại vị trí răng mọc dở dang. Căn cứ vào biểu hiện lâm sàng, bệnh lý này được phân chia thành hai thể chính:
Viêm lợi trùm cấp tính
Đây là trạng thái nhiễm trùng bộc phát đột ngột với cường độ mạnh. Bệnh nhân thường xuất hiện triệu chứng đau nhức dữ dội tại chỗ, đau lan tỏa lên vùng tai và khớp thái dương hàm. Mô nướu tại vị trí viêm sưng tấy đỏ, phù nề rõ rệt và thường kèm theo hiện tượng chảy mủ khi có áp lực cơ học. Viêm lợi trùm cấp tính yêu cầu can thiệp y tế khẩn cấp để kiểm soát nhiễm trùng và ngăn chặn áp xe hóa.
Viêm lợi trùm mạn tính
Trạng thái này đặc trưng bởi các đợt viêm nhẹ tái đi tái lại trong thời gian dài. Triệu chứng lâm sàng thường chỉ là cảm giác cộm vướng, ê ẩm nhẹ tại vùng góc hàm. Tuy nhiên, viêm mạn tính gây ra tình trạng phá hủy tổ chức liên kết nướu và tiêu xương ổ răng thầm lặng, làm suy yếu cấu trúc nâng đỡ của các răng lân cận (đặc biệt là răng số 7).
Cơ chế sinh học và nguyên nhân gây bệnh

Sự phát sinh viêm lợi trùm là kết quả của sự tương tác phức tạp giữa cấu trúc giải phẫu và hệ vi sinh vật khoang miệng:
-
Sự hình thành túi nướu bệnh lý: Khi răng khôn mọc lệch hoặc mọc kẹt, một phần niêm mạc nướu không thể tiêu biến mà bao phủ lên thân răng. Khoảng trống giữa mặt nhai của răng và vạt nướu này trở thành môi trường yếm khí lý tưởng cho vi khuẩn Streptococcus và Bacteroides phát triển.
-
Sang chấn cơ học từ răng đối diện: Trong quá trình ăn nhai, răng hàm đối diện tác động lực trực tiếp lên vùng lợi trùm đang bị phù nề, gây ra các tổn thương vi thể và làm trầm trọng thêm phản ứng viêm.
-
Sự suy giảm miễn dịch tại chỗ: Vệ sinh răng miệng kém làm gia tăng tải lượng vi khuẩn, vượt quá khả năng tự bảo vệ của niêm mạc miệng, dẫn đến bộc phát ổ viêm.
-
Yếu tố nội tiết và thói quen: Phụ nữ trong thai kỳ hoặc người có thói quen hút thuốc lá thường có phản ứng viêm mô mềm mạnh hơn và tốc độ lành thương chậm hơn do rối loạn vi tuần hoàn.
Các dấu hiệu lâm sàng và giai đoạn tiến triển
Việc nhận diện sớm các cấp độ của viêm lợi trùm giúp tối ưu hóa phác đồ điều trị:
Giai đoạn khu trú (Nhẹ)
-
Nướu quanh răng khôn sưng đỏ nhẹ, cảm giác căng tức khi thực hiện chức năng nhai.
-
Xuất hiện mùi hôi miệng (Halitosis) do sự phân hủy hữu cơ của vi khuẩn trong kẽ nướu.
-
Cảm giác vướng cộm nhưng chưa ảnh hưởng đến khả năng há miệng.
Giai đoạn lan tỏa (Nặng)
-
Đau cường độ cao: Cơn đau nhức liên tục, ảnh hưởng đến hệ thần kinh gây đau đầu, mất ngủ.
-
Khít hàm (Trismus): Cơ nhai bị co thắt do phản ứng viêm lan rộng, khiến bệnh nhân gặp khó khăn trong việc há miệng và nuốt thực phẩm.
-
Phản ứng toàn thân: Sốt cao (trên 38 độ C), mệt mỏi, xuất hiện hạch bạch huyết vùng dưới hàm hoặc cổ.
-
Hiện tượng thoát mủ: Khi ép nhẹ vào vùng nướu viêm, dịch mủ trắng hoặc vàng chảy ra, báo hiệu tình trạng nhiễm trùng đã vào giai đoạn áp xe.
Biến chứng nguy hiểm nếu trì hoãn điều trị

Viêm lợi trùm không được xử lý triệt để sẽ dẫn đến các hệ lụy vượt ra ngoài phạm vi nha khoa:
-
Nhiễm trùng không gian mô sâu: Vi khuẩn từ lợi trùm có thể lan xuống vùng sàn miệng, khoang bên họng (angina Ludwig), gây sưng nề đường hô hấp và đe dọa trực tiếp đến tính mạng.
-
Phá hủy răng số 7: Viêm nhiễm kéo dài làm tiêu xương mặt xa của răng số 7, dẫn đến sâu răng chân răng và mất răng hàm chức năng quan trọng nhất.
-
Viêm tủy và áp xe xương hàm: Nhiễm trùng ngược dòng vào tủy răng hoặc gây viêm tủy xương hàm, đòi hỏi các can thiệp phẫu thuật phức tạp.
-
Biến chứng toàn thân: Vi khuẩn xâm nhập hệ tuần hoàn gây viêm nội tâm mạc nhiễm khuẩn hoặc tăng rủi ro cho bệnh nhân mắc bệnh lý tim mạch và tiểu đường.
Phác đồ điều trị chuyên sâu tại Nha khoa Xanh Dental

Tại Xanh Dental, quy trình xử lý viêm lợi trùm được cá nhân hóa dựa trên kết quả chẩn đoán hình ảnh kỹ thuật số, đảm bảo tính an toàn và hiệu quả bền vững.
Điều trị nội khoa kiểm soát nhiễm trùng
Trong giai đoạn cấp tính, bác sĩ sẽ chỉ định:
-
Sử dụng kháng sinh và kháng viêm: Theo phác đồ chuẩn y khoa để tiêu diệt vi khuẩn và giảm phù nề mô mềm.
-
Vệ sinh túi nướu chuyên sâu: Bơm rửa túi lợi trùm bằng dung dịch sát khuẩn y tế (Chlorhexidine) để loại bỏ tác nhân gây viêm tại chỗ.
-
Quản lý đau: Chỉ định các loại thuốc giảm đau hỗ trợ theo liều lượng phù hợp với thể trạng bệnh nhân.
Can thiệp ngoại khoa triệt để
Dưới sự dẫn dắt chuyên môn của ThS.BS Nguyễn Anh Sơn – chuyên gia tu nghiệp Harvard, Xanh Dental áp dụng các kỹ thuật sau:
-
Cắt lợi trùm bằng Laser/Điện cao tần: Áp dụng khi răng khôn mọc thẳng và đủ không gian trên cung hàm. Kỹ thuật này giúp loại bỏ vạt nướu thừa, không chảy máu, không đau và ngăn ngừa tái phát.
-
Phẫu thuật nhổ răng khôn (Tiểu phẫu): Được chỉ định cho các trường hợp răng mọc lệch, mọc kẹt gây viêm tái phát. Xanh Dental ứng dụng máy siêu âm Piezotome giúp nhổ răng xâm lấn tối thiểu, bảo tồn xương ổ răng và rút ngắn thời gian hồi phục.
-
Lấy cao răng siêu âm: Loại bỏ mảng bám khoáng hóa tại vùng kẽ răng để đảm bảo môi trường vô trùng hậu phẫu.
Tại sao khách hàng tin tưởng lựa chọn Nha khoa Xanh Dental?
Với bề dày 17 năm kinh nghiệm (từ năm 2008), Xanh Dental khẳng định vị thế dẫn đầu nhờ:
-
Đội ngũ chuyên gia: Dẫn đầu bởi ThS.BS Nguyễn Anh Sơn cùng các cộng sự tốt nghiệp Đại học Y Hà Nội, tu nghiệp quốc tế. Chúng tôi cam kết chẩn đoán chính xác dựa trên bằng chứng lâm sàng.
-
Hệ thống Labo 3D tự chủ: Hỗ trợ thiết kế các khí cụ bảo vệ và phục hình răng sau can thiệp một cách chuẩn xác nhất.
-
Trách nhiệm xã hội và Bảo hiểm Y tế: Xanh Dental hỗ trợ thực hiện chính sách Bảo hiểm Y tế (giảm 30% chi phí) cho các dịch vụ bệnh lý nướu và nhổ răng khôn, giúp khách hàng tối ưu hóa chi phí điều trị.
-
Môi trường vô trùng tuyệt đối: Quy trình kiểm soát nhiễm khuẩn đạt tiêu chuẩn khắt khe nhất, đảm bảo an toàn tuyệt đối cho bệnh nhân.
Chế độ dinh dưỡng và quy trình phòng ngừa y khoa
Việc tuân thủ chế độ chăm sóc quyết định tốc độ hồi phục cấu trúc niêm mạc:
Dinh dưỡng hỗ trợ lành thương
-
Nên dùng: Thực phẩm dạng lỏng, mềm (cháo, súp), bổ sung thực phẩm giàu Vitamin C và Kẽm để tăng cường tổng hợp collagen và hệ miễn dịch.
-
Hạn chế: Các thực phẩm có độ cứng, dai, cay nóng và các chất kích thích (rượu, bia, thuốc lá) làm gia tăng áp lực lên vùng lợi đang tổn thương.
Quy trình phòng ngừa tái phát
-
Vệ sinh răng miệng tiêu chuẩn: Chải răng 2 lần/ngày, tập trung làm sạch vùng răng hàm bằng bàn chải lông mềm.
-
Sử dụng thiết bị hỗ trợ: Máy tăm nước và chỉ nha khoa là công cụ bắt buộc để làm sạch túi lợi và vùng kẽ răng khôn.
-
Khám định kỳ 6 tháng/lần: Thực hiện lấy cao răng và kiểm tra tiến trình mọc răng khôn để can thiệp kịp thời trước khi ổ viêm hình thành.
Kết luận
Viêm lợi trùm là một trạng thái bệnh lý cần được can thiệp y khoa chuyên nghiệp để tránh các biến chứng nhiễm trùng lan tỏa nguy hiểm. Tại Nha khoa Xanh Dental, chúng tôi cam kết mang lại giải pháp điều trị nhẹ nhàng, an toàn và triệt để, dựa trên nền tảng chuyên môn vững chắc và công nghệ hiện đại.
Để được tư vấn trực tiếp và thực hiện chẩn đoán cùng ThS.BS Nguyễn Anh Sơn, quý khách hàng vui lòng liên hệ qua hệ thống Hotline hoặc đến trực tiếp địa chỉ của chúng tôi tại Hà Nội.

ThS.BS Nguyễn Anh Sơn Vị trí: Giám đốc chuyên môn Nha khoa Xanh Dental. Được thành lập từ năm 2008, Nha khoa Xanh Dental với 17 năm kinh nghiệm và hệ thống máy móc hiện đại, luôn tiên phong trong việc mang đến những dịch vụ nha khoa chất lượng cao cho khách hàng.
