Răng mọc lệch vào trong là một dạng sai lệch khớp cắn phổ biến, đặc trưng bởi việc các răng trên cung hàm không phát triển theo trục thẳng đứng tiêu chuẩn mà có xu hướng nghiêng về phía lưỡi (đối với hàm dưới) hoặc phía khẩu cái (đối với hàm trên). Tình trạng này không chỉ gây mất cân đối thẩm mỹ diện mạo mà còn ảnh hưởng nghiêm trọng đến chức năng cơ học của hệ thống nhai và sức khỏe mô nha chu. Việc xác định chính xác nguyên nhân và cấp độ lệch lạc thông qua chẩn đoán hình ảnh là bước tiên quyết để xây dựng phương pháp can thiệp hiệu quả.
1. Khái niệm lâm sàng về tình trạng răng mọc lệch vào trong

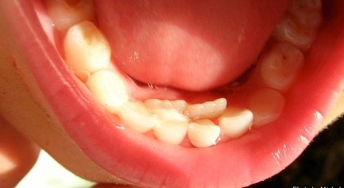
Trong nha khoa chuyên môn, răng mọc lệch vào trong thường được gọi là răng quặp hoặc răng móm (nếu xảy ra diện rộng ở hàm dưới). Đây là trạng thái các răng vĩnh viễn mọc lùi vào phía trong so với đường cung hàm chuẩn, tạo ra sự sai lệch trong tương quan giữa hàm trên và hàm dưới.
Biểu hiện lâm sàng của tình trạng này bao gồm:
-
Sự lệch trục răng: Thân răng nghiêng một góc đáng kể vào bên trong khoang miệng.
-
Sai lệch khớp cắn: Răng hàm trên nằm phía sau răng hàm dưới khi ngậm miệng (khớp cắn ngược) hoặc các răng không thể tiếp xúc tối ưu để thực hiện chức năng nghiền nát thực phẩm.
-
Biến dạng cung hàm: Cung hàm có xu hướng bị hẹp, đặc biệt là ở vùng răng cửa và răng tiền hàm, gây ảnh hưởng đến cấu trúc xương hàm tổng thể.
2. Phân loại các kiểu răng mọc lệch vào trong phổ biến
Tùy thuộc vào vị trí và mức độ ảnh hưởng, răng mọc lệch vào trong được chia thành các nhóm chính sau:
2.1. Răng cửa mọc lệch vào trong
Đây là trường hợp thường gặp nhất, gây ảnh hưởng trực tiếp đến thẩm mỹ nụ cười. Răng cửa giữa hoặc răng cửa bên mọc lùi vào phía khẩu cái, khiến cung răng bị lõm, tạo cảm giác hàm bị móm và ảnh hưởng đến khả năng phát âm các âm tiết phức tạp.
2.2. Răng hàm mọc lệch vào trong
Tình trạng này thường xảy ra ở răng số 6, số 7 hoặc răng khôn (răng số 8). Răng nghiêng về phía lưỡi gây khó khăn trong việc vệ sinh mặt trong, dẫn đến tích tụ cao răng và viêm nhiễm mô mềm. Ngoài ra, răng hàm lệch vào trong làm thay đổi diện tích tiếp xúc khớp cắn, gây áp lực bất thường lên khớp thái dương hàm.
2.3. Răng mọc lệch vào trong kèm chen chúc
Xảy ra khi cung hàm quá hẹp, các răng không đủ vị trí để sắp xếp đều đặn, buộc phải mọc lùi vào trong hoặc chồng chéo lên nhau. Đây là trường hợp yêu cầu phác đồ điều trị phức tạp, thường kết hợp giữa nong hàm và chỉnh nha.
3. Nguyên nhân gây ra tình trạng sai lệch hướng mọc răng

Việc xác định nguyên nhân đóng vai trò cốt lõi trong việc lựa chọn khí cụ chỉnh nha và dự đoán khả năng tái phát.
3.1. Yếu tố di truyền và cấu trúc xương hàm
Kích thước xương hàm nhỏ trong khi kích thước răng lớn là yếu tố di truyền phổ biến. Khi xương hàm không đủ không gian để chứa toàn bộ hệ thống răng, các răng mọc sau sẽ bị đẩy lùi vào bên trong để tìm vị trí tồn tại.
3.2. Rối loạn trong giai đoạn thay răng sữa
-
Mất răng sữa sớm: Khi răng sữa bị rụng trước thời điểm sinh lý, các răng kế cận có xu hướng di chuyển vào khoảng trống, làm hẹp vị trí mọc của răng vĩnh viễn tương ứng.
-
Răng sữa chậm rụng: Chân răng sữa không tiêu biến kịp thời sẽ cản trở hướng mọc của răng vĩnh viễn, buộc răng vĩnh viễn phải tìm đường mọc khác, thường là mọc cụp vào trong.
3.3. Các thói quen chức năng sai lệch
Thói quen duy trì trong thời gian dài ở giai đoạn phát triển xương hàm có thể làm thay đổi trục răng:
-
Thói quen đẩy lưỡi: Áp lực từ lưỡi tác động không đều có thể làm thay đổi hướng mọc của răng.
-
Cắn môi dưới hoặc mút tay: Tạo lực ép thường xuyên lên vùng răng cửa, khiến răng hàm trên cụp vào trong và hàm dưới bị đưa ra trước.
4. Hệ lụy đối với sức khỏe răng miệng và chức năng ăn nhai

Răng mọc lệch vào trong nếu không được điều trị kịp thời sẽ dẫn đến các biến chứng lâm sàng nghiêm trọng:
-
Viêm nha chu và sâu răng diện rộng: Các góc khuất do răng mọc lệch tạo điều kiện cho mảng bám vi khuẩn tích tụ. Việc vệ sinh bằng bàn chải thông thường không thể làm sạch hoàn toàn mặt trong, dẫn đến viêm lợi, tụt nướu và tiêu xương ổ răng.
-
Suy giảm chức năng hệ tiêu hóa: Sai lệch khớp cắn khiến thức ăn không được nghiền nát kỹ, tạo áp lực cho dạ dày và hệ thống tiêu hóa dưới.
-
Rối loạn khớp thái dương hàm: Lực nhai không đều gây áp lực lên cơ nhai và khớp thái dương hàm, dẫn đến các triệu chứng đau đầu, mỏi hàm và tiếng kêu “lụp cụp” khi mở miệng.
-
Ảnh hưởng đến thẩm mỹ và tâm lý: Tình trạng răng cụp, móm làm thay đổi cấu trúc môi và khuôn mặt, khiến người bệnh thiếu tự tin trong giao tiếp xã hội.
5. Phác đồ điều trị răng mọc lệch vào trong tại Nha khoa Xanh Dental
Tại Xanh Dental, mỗi trường hợp sai lệch đều được thực hiện theo quy trình chuẩn y khoa, ứng dụng công nghệ 3D để mô phỏng kết quả điều trị.
5.1. Can thiệp đối với trẻ em (Giai đoạn tăng trưởng)
Mục tiêu là hướng dẫn răng mọc đúng vị trí và điều chỉnh sự phát triển của xương hàm:
-
Sử dụng hàm nong (Nong hàm): Mở rộng diện tích cung hàm để tạo khoảng trống cho các răng mọc lệch di chuyển ra vị trí chuẩn.
-
Khí cụ chức năng: Điều chỉnh thói quen đẩy lưỡi, cắn môi và định hướng lại tương quan giữa hai hàm.
-
Niềng răng tiền chỉnh nha: Sử dụng các khí cụ tháo lắp để điều chỉnh trục răng ngay từ khi răng vĩnh viễn bắt đầu mọc.
5.2. Điều trị đối với người trưởng thành
Khi xương hàm đã ổn định, phác đồ sẽ tập trung vào việc di chuyển răng và phục hình thẩm mỹ:
-
Chỉnh nha (Niềng răng) chuyên sâu: Đây là giải pháp tối ưu nhất. Sử dụng hệ thống mắc cài hoặc khay niềng trong suốt để kéo răng về đúng trục và vị trí trên cung hàm. Tại Xanh Dental, chúng tôi ứng dụng công nghệ mô phỏng AI giúp rút ngắn thời gian điều trị.
-
Bọc răng sứ thẩm mỹ: Áp dụng cho các trường hợp lệch lạc mức độ nhẹ hoặc trung bình ở người lớn cần kết quả nhanh. Răng sứ được chế tác tại phòng Labo 3D tự chủ của Xanh Dental đảm bảo độ khít sát và hình thể chuẩn xác, giúp điều chỉnh trục răng ngay lập tức.
-
Phẫu thuật hàm: Được chỉ định khi nguyên nhân mọc lệch do sai lệch cấu trúc xương hàm nghiêm trọng mà chỉnh nha đơn thuần không thể giải quyết.
6. Tại sao khách hàng tin tưởng lựa chọn Nha khoa Xanh Dental?

Với hơn 17 năm kinh nghiệm (từ năm 2008), Xanh Dental đã trở thành địa chỉ uy tín hàng đầu trong điều trị sai lệch khớp cắn và thẩm mỹ răng hàm mặt.
-
Chuyên gia chuyên môn cao: Đội ngũ bác sĩ được dẫn dắt bởi ThS.BS Nguyễn Anh Sơn – chuyên gia tu nghiệp tại Harvard (Mỹ) và các trung tâm nha khoa lớn tại Châu Âu. Bác sĩ Sơn có kinh nghiệm thực hiện hơn 5000 ca chỉnh nha phức tạp, đảm bảo độ chính xác trong từng phác đồ.
-
Hệ thống Labo công nghệ cao: Xanh Dental tự đầu tư hệ thống phòng Lab hiện đại, ứng dụng công nghệ in 3D và quét răng kỹ thuật số. Điều này giúp chúng tôi tự chủ trong việc sản xuất răng sứ và khay niềng, đảm bảo chất lượng kiểm soát nghiêm ngặt và tối ưu chi phí cho khách hàng.
-
Cơ sở vật chất hiện đại: Phòng khám đạt tiêu chuẩn vô trùng quốc tế, trang bị hệ thống máy X-quang CT Cone Beam hiện đại giúp chẩn đoán chi tiết cấu trúc xương và răng.
-
Chính sách Bảo hiểm Y tế (BHYT): Xanh Dental thực hiện trách nhiệm xã hội bằng việc hỗ trợ khám và điều trị bằng BHYT, giúp khách hàng tiết kiệm 30% chi phí cho các dịch vụ bệnh lý nha khoa, đảm bảo mọi đối tượng đều có cơ hội tiếp cận y tế chất lượng cao.
7. Quy trình phòng ngừa răng mọc lệch từ giai đoạn sớm
Việc phòng ngừa đóng vai trò then chốt giúp hạn chế các can thiệp phức tạp về sau:
-
Theo dõi lịch trình thay răng: Cha mẹ cần đưa trẻ đi khám định kỳ 6 tháng/lần để bác sĩ theo dõi quá trình rụng răng sữa và mọc răng vĩnh viễn.
-
Loại bỏ thói quen xấu: Hướng dẫn trẻ từ bỏ thói quen mút tay, đẩy lưỡi hoặc thở bằng miệng thông qua các biện pháp tâm lý hoặc khí cụ chuyên dụng.
-
Vệ sinh răng miệng đúng cách: Bảo vệ răng sữa không bị sâu hỏng sớm để giữ khoảng trống cho răng vĩnh viễn.
-
Can thiệp kịp thời: Khi thấy dấu hiệu răng vĩnh viễn mọc lùi vào trong, cần đến ngay nha khoa chuyên khoa để được nong hàm hoặc chỉnh hướng mọc răng sớm.
Kết luận
Răng mọc lệch vào trong là tình trạng bệnh lý cần được can thiệp sớm để tránh các biến chứng về chức năng ăn nhai và thẩm mỹ lâu dài. Tại Nha khoa Xanh Dental, chúng tôi cam kết mang lại giải pháp điều trị tận tâm, ứng dụng công nghệ cao để bảo tồn tối đa răng thật và mang lại khớp cắn chuẩn xác. Sự hài lòng và sức khỏe bền vững của khách hàng là tôn chỉ hoạt động của chúng tôi.
Để được tư vấn chi tiết về tình trạng răng mọc lệch và nhận phác đồ điều trị cá nhân hóa từ ThS.BS Nguyễn Anh Sơn, quý khách hàng vui lòng liên hệ trực tiếp qua Hotline hoặc đến thăm khám tại địa chỉ duy nhất của chúng tôi.

ThS.BS Nguyễn Anh Sơn Vị trí: Giám đốc chuyên môn Nha khoa Xanh Dental. Được thành lập từ năm 2008, Nha khoa Xanh Dental với 17 năm kinh nghiệm và hệ thống máy móc hiện đại, luôn tiên phong trong việc mang đến những dịch vụ nha khoa chất lượng cao cho khách hàng.