Tình trạng răng bị gãy vỡ chỉ còn chân răng là một trong những tổn thương cấu trúc nghiêm trọng trong nha khoa lâm sàng. Hiện tượng này không chỉ gây gián đoạn chức năng ăn nhai mà còn tiềm ẩn những rủi ro về nhiễm trùng và tiêu xương ổ răng. Việc xác định phương pháp điều trị bảo tồn hay chỉ định nhổ bỏ cần dựa trên các phân tích hình ảnh X-quang và đánh giá thực thể từ bác sĩ chuyên khoa. Bài viết dưới đây cung cấp thông tin chi tiết về nguyên nhân, các cấp độ tổn thương và phác đồ điều trị chuyên sâu được áp dụng tại hệ thống Nha khoa Xanh Dental.
1. Định nghĩa y khoa về tình trạng răng gãy còn chân

Răng gãy còn chân là trạng thái bệnh lý khi phần thân răng (cấu trúc lộ ra trên nướu) bị phá hủy hoặc nứt gãy trên 70%, trong khi phần chân răng vẫn còn nằm trong xương hàm. Tùy thuộc vào đường hoàn tất của vết gãy so với viền nướu, tình trạng này được phân loại cụ thể như sau:
-
Gãy trên nướu: Đường gãy nằm phía trên viền nướu sinh học, phần mô răng còn lại đủ để thực hiện các giải pháp phục hình mà không cần can thiệp sâu vào mô mềm.
-
Gãy sát nướu: Vết gãy nằm ngang bằng với bờ nướu, gây khó khăn cho việc lấy dấu và đặt các mão răng phục hình truyền thống.
-
Gãy dưới nướu: Đường gãy xâm phạm vào khoảng sinh học (Biological Width), nằm sâu bên dưới nướu hoặc sát xương ổ răng. Đây là trường hợp phức tạp nhất, dễ dẫn đến viêm nhiễm mãn tính nếu không được xử lý đúng kỹ thuật.
Tại Xanh Dental, mọi trường hợp răng gãy còn chân đều được chẩn đoán qua hệ thống chẩn đoán hình ảnh kỹ thuật số nhằm xác định tình trạng buồng tủy, ống tủy và độ bám dính của chân răng trong xương hàm trước khi đưa ra chỉ định cuối cùng.
2. Các nguyên nhân dẫn đến răng gãy còn chân

Có nhiều yếu tố gây ra sự phá hủy cấu trúc răng dẫn đến việc chỉ còn lại chân răng, trong đó phổ biến nhất là:
2.1. Bệnh lý sâu răng tiến triển
Vi khuẩn Streptococcus mutans phá hủy men và ngà răng, tạo ra các khoang rỗng bên trong. Khi cấu trúc nâng đỡ bị suy yếu, áp lực ăn nhai thông thường cũng có thể khiến thân răng bị vỡ vụn, chỉ để lại phần chân răng đã bị nhiễm khuẩn.
2.2. Chấn thương ngoại lực
Các tai nạn giao thông, tai nạn sinh hoạt hoặc va chạm trong hoạt động thể thao là nguyên nhân trực tiếp gây ra các vết nứt gãy đột ngột. Nhóm răng cửa thường chịu tác động lớn nhất do vị trí nằm ở mặt ngoài của cung hàm.
2.3. Sự suy yếu của men răng do thói quen sinh hoạt
-
Tác động cơ học cường độ cao: Thói quen dùng răng cắn vật cứng, mở nắp chai hoặc nghiến răng (Bruxism) gây ra các vết nứt vi thể, lâu dần dẫn đến gãy gập thân răng tại vùng cổ răng.
-
Sốc nhiệt: Việc thay đổi nhiệt độ thực phẩm đột ngột làm men răng co giãn không đều, tạo ra các rãnh nứt tự nhiên.
2.4. Mòn cổ chân răng và bệnh lý nướu
Quá trình chải răng sai kỹ thuật kết hợp với viêm nha chu khiến vùng cổ răng bị khuyết lõm. Do đây là vị trí chuyển tiếp và có cấu trúc mỏng nhất, răng rất dễ bị gãy ngang khi có lực tác động.
3. Phân tích các mức độ tổn thương răng gãy

Việc phân loại mức độ tổn thương là cơ sở để bác sĩ tại Xanh Dental xây dựng phác đồ điều trị cá nhân hóa:
3.1. Mức độ nhẹ: Còn mô răng nâng đỡ
Răng bị mẻ hoặc gãy một phần thân răng. Phần mô răng còn lại trên nướu vẫn đảm bảo điều kiện để tái tạo hình thái. Chân răng ổn định, không có dấu hiệu viêm quanh chóp. Đây là trường hợp có tiên lượng bảo tồn rất cao.
3.2. Mức độ trung bình: Gãy sát viền nướu
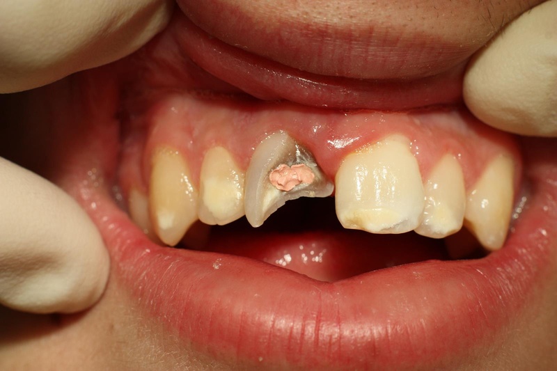
Thân răng bị mất hoàn toàn về mặt đại thể, chỉ còn lại gốc răng ngang mặt nướu. Việc phục hình đòi hỏi các kỹ thuật nâng cao như làm dài thân răng lâm sàng hoặc đặt chốt ống tủy để tạo điểm bám cho mão sứ.
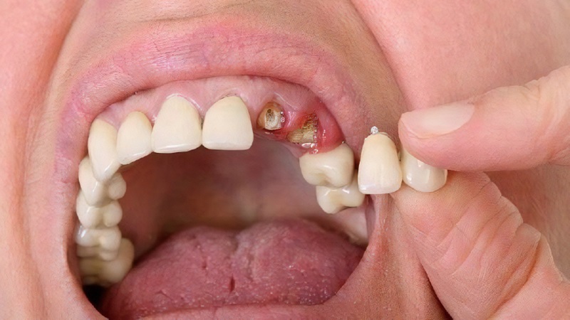
3.3. Mức độ nặng: Gãy sâu dưới nướu
Đường gãy nằm sâu trong xương ổ răng, thường kèm theo tình trạng viêm tủy cấp hoặc hoại tử tủy. Vi khuẩn xâm nhập sâu vào vùng chóp chân răng, gây ra các ổ mủ. Trong trường hợp này, khả năng bảo tồn răng phụ thuộc vào chiều dài chân răng còn lại và tình trạng xương hàm.
4. Tiêu chuẩn đánh giá khả năng bảo tồn răng tại Xanh Dental
Nha khoa Xanh Dental ưu tiên tối đa việc bảo tồn răng thật theo nguyên tắc “Nha khoa bảo tồn”. Tuy nhiên, quyết định giữ lại chân răng phải dựa trên các tiêu chuẩn y khoa khắt khe:
-
Độ vững chắc của chân răng: Chân răng không bị lung lay (độ 1, 2) và có chiều dài ít nhất gấp đôi phần thân răng dự định phục hình để đảm bảo khả năng chịu lực nhai.
-
Tình trạng nội nha: Ống tủy chưa bị nhiễm trùng quá nặng hoặc có thể điều trị triệt để bằng phương pháp lấy tủy.
-
Cấu trúc xương ổ răng: Xương xung quanh chân răng không bị tiêu biến quá 1/3 chiều dài chân răng. Không có các tổn thương áp xe lớn tại vùng chóp.
-
Vị trí và chức năng: Đối với răng cửa, yêu cầu về thẩm mỹ cao nên việc giữ lại chân răng giúp duy trì hình dạng nướu tự nhiên. Đối với răng hàm, yếu tố lực nhai bền vững được đặt lên hàng đầu.
5. Biến chứng tiềm ẩn khi không điều trị kịp thời
Việc duy trì một chân răng bị gãy mà không có biện pháp can thiệp y khoa sẽ dẫn đến nhiều hệ lụy nghiêm trọng cho sức khỏe:
5.1. Nhiễm trùng nội nha và áp xe xương hàm
Khi thân răng bị mất, khoang tủy bị lộ ra ngoài, tạo điều kiện cho vi khuẩn xâm nhập trực tiếp. Nhiễm trùng sẽ lan từ ống tủy xuống chóp răng, hình thành ổ áp xe chứa mủ, gây đau nhức dữ dội và có thể dẫn đến nhiễm trùng huyết trong các trường hợp nặng.
5.2. Tiêu xương ổ răng và biến dạng khuôn mặt
Chân răng không còn thực hiện chức năng dẫn truyền lực nhai sẽ khiến mật độ xương tại vị trí đó bị suy giảm (tiêu xương cơ học). Tình trạng tiêu xương lâu ngày dẫn đến tụt nướu ở các răng kế cận, hóp má và làm khuôn mặt lão hóa nhanh hơn so với tuổi thật.
5.3. Xô lệch hệ thống răng trên cung hàm
Khoảng trống do phần thân răng mất đi khiến các răng đối diện trồi lên và các răng kế cận nghiêng đổ vào vùng mất răng. Điều này gây sai lệch khớp cắn, đau khớp thái dương hàm và làm giảm hiệu suất tiêu hóa do thực phẩm không được nghiền nát.
6. Giải pháp điều trị chuyên sâu tại Nha khoa Xanh Dental

Căn cứ vào kết quả thăm khám, bác sĩ tại Xanh Dental sẽ áp dụng một trong các phương án sau:
6.1. Nhóm giải pháp bảo tồn răng (Chân răng còn tốt)
-
Trám răng thẩm mỹ Composite: Áp dụng cho các vết mẻ nhỏ dưới 30% diện tích thân răng. Xanh Dental sử dụng vật liệu Composite Nano có độ cứng và màu sắc tương đương men răng thật.
-
Điều trị tủy và đặt chốt tái tạo cùi răng: Nếu tủy bị tổn thương, bác sĩ sẽ tiến hành lấy tủy triệt để, sau đó cắm một chốt (Post) bằng sợi thủy tinh hoặc kim loại vào ống tủy để làm trụ đỡ, tái tạo lại thân răng trước khi bọc sứ.
-
Bọc răng sứ thẩm mỹ: Đây là giải pháp tối ưu cho răng gãy còn chân. Mão sứ chế tác tại phòng Labo 3D của Xanh Dental đảm bảo độ khít sát tuyệt đối, bảo vệ chân răng thật khỏi vi khuẩn và lực nhai, đồng thời khôi phục tính thẩm mỹ hoàn hảo.
6.2. Nhóm giải pháp phục hình thay thế (Chân răng không thể giữ lại)
Khi chân răng đã bị nứt dọc hoặc hoại tử nặng, việc nhổ bỏ là cần thiết để bảo vệ xương hàm:
-
Cấy ghép Implant: Là công nghệ phục hình hiện đại nhất. Trụ Implant bằng Titanium được cấy vào xương hàm thay thế chân răng thật, sau đó gắn mão sứ lên trên. Giải pháp này ngăn chặn hoàn toàn tình trạng tiêu xương và có tuổi thọ trọn đời.
-
Cầu răng sứ: Sử dụng các răng kế cận làm trụ để nâng đỡ dãy răng sứ. Phương pháp này thực hiện nhanh chóng nhưng yêu cầu phải mài răng thật và không ngăn được tiêu xương tại vị trí mất răng.
7. Tại sao nên chọn Xanh Dental để điều trị răng gãy?

Nha khoa Xanh Dental, được thành lập từ năm 2008, là đơn vị có uy tín hàng đầu trong lĩnh vực điều trị nội nha và phục hình thẩm mỹ tại Hà Nội.
-
Chuyên môn vượt trội: Đội ngũ bác sĩ dẫn đầu bởi ThS.BS Nguyễn Anh Sơn – chuyên gia tu nghiệp tại Harvard và các trung tâm nha khoa lớn tại Đức, Ý. Bác sĩ Sơn cùng cộng sự đã thực hiện thành công hàng ngàn ca bảo tồn răng khó.
-
Công nghệ Labo 3D tự chủ: Xanh Dental sở hữu hệ thống phòng Lab công nghệ cao, cho phép thiết kế và chế tác răng sứ ngay tại phòng khám, đảm bảo tính cá nhân hóa và rút ngắn thời gian điều trị cho khách hàng.
-
Trách nhiệm và hỗ trợ cộng đồng: Chúng tôi áp dụng chính sách Bảo hiểm Y tế (giảm trừ 30% chi phí bệnh lý), giúp khách hàng được tiếp cận dịch vụ nha khoa chất lượng cao với chi phí hợp lý nhất.
-
Môi trường vô trùng tuyệt đối: Quy trình điều trị tuân thủ tiêu chuẩn kiểm soát nhiễm khuẩn của Bộ Y tế, đảm bảo an toàn và ngăn ngừa biến chứng hậu phẫu.
8. Hướng dẫn chăm sóc sau khi phục hồi răng gãy
Sau khi can thiệp y khoa, việc tuân thủ chế độ chăm sóc quyết định đến tuổi thọ của răng phục hình:
-
Hạn chế lực tác động mạnh: Không nhai đồ quá cứng hoặc quá dai ở vùng răng vừa phục hồi, đặc biệt là trong tuần đầu tiên.
-
Vệ sinh chuyên sâu: Sử dụng bàn chải lông mềm kết hợp máy tăm nước và chỉ nha khoa để loại bỏ mảng bám tại vị trí tiếp giáp giữa nướu và mão răng sứ.
-
Tái khám định kỳ: Thực hiện kiểm tra định kỳ 6 tháng/lần tại Xanh Dental để bác sĩ theo dõi độ bền của chốt cùi hoặc mão sứ và vệ sinh vôi răng chuyên nghiệp.
Tình trạng răng gãy còn chân nếu được xử lý sớm sẽ mang lại kết quả bảo tồn tối ưu và tiết kiệm chi phí. Nha khoa Xanh Dental cam kết đồng hành cùng bạn để tái tạo nụ cười tự tin và bền vững nhất.

ThS.BS Nguyễn Anh Sơn Vị trí: Giám đốc chuyên môn Nha khoa Xanh Dental. Được thành lập từ năm 2008, Nha khoa Xanh Dental với 17 năm kinh nghiệm và hệ thống máy móc hiện đại, luôn tiên phong trong việc mang đến những dịch vụ nha khoa chất lượng cao cho khách hàng.