Ngà răng là thành phần cấu trúc chiếm tỉ trọng lớn nhất trong một răng hoàn chỉnh, đóng vai trò nền tảng trong việc hình thành hình thể giải phẫu và bảo vệ hệ thống tủy răng. Không giống như men răng là mô đã chết, ngà răng là một tổ chức sống với hệ thống ống ngà liên kết trực tiếp với các đầu dây thần kinh tủy. Việc hiểu rõ cơ chế sinh học của ngà răng giúp bệnh nhân nhận diện sớm các tình trạng nhạy cảm ngà và thực hiện các biện pháp can thiệp y khoa kịp thời nhằm bảo tồn răng thật bền vững.
1. Ngà răng là gì?

Ngà răng là một mô liên kết đã khoáng hóa, có tính đàn hồi và độ thấm cao. Trong cấu trúc giải phẫu răng, ngà răng bao quanh toàn bộ buồng tủy và ống tủy, được che phủ bởi men răng ở vùng thân răng và bởi xê-măng (Cementum) ở vùng chân răng.
1.1. Vị trí và tương quan giải phẫu
-
Vùng thân răng: Ngà răng nằm dưới lớp men, ranh giới giữa hai lớp này được gọi là đường khớp men – ngà (DEJ).
-
Vùng chân răng: Ngà răng tiếp giáp trực tiếp với xê-măng chân răng và các dây chằng nha chu.
-
Vùng nội tủy: Ngà răng tạo thành thành vách bao bọc tủy răng, liên tục trao đổi chất thông qua các đuôi nguyên sinh chất của nguyên bào tạo ngà (Odontoblasts).
1.2. Đặc tính vật lý chủ đạo
-
Màu sắc: Ngà răng có sắc thái vàng nhạt đặc trưng. Do men răng có tính thấu quang (trong suốt), màu sắc của ngà răng chính là yếu tố quyết định độ trắng sáng hoặc sẫm màu của răng khi quan sát lâm sàng.
-
Độ cứng và độ đàn hồi: Ngà răng có độ cứng thấp hơn men răng nhưng cao hơn xương và xê-măng. Nhờ hàm lượng chất hữu cơ cao, ngà răng sở hữu tính đàn hồi, giúp hấp thụ và phân tán các lực cơ học phát sinh trong quá trình ăn nhai, bảo vệ men răng khỏi các vết nứt vỡ do giòn.
-
Tính thấm: Cấu trúc ống ngà tạo ra tính thấm sinh học, cho phép dịch ngà di chuyển và dẫn truyền cảm giác nhiệt hoặc hóa học từ môi trường ngoài vào trung tâm thần kinh tủy.
2. Thành phần hóa học và cấu trúc vi thể của ngà răng

Cấu tạo của ngà răng là sự kết hợp phức tạp giữa các khoáng chất vô cơ và mạng lưới hữu cơ bền vững.
2.1. Thành phần hóa học
Dựa trên phân tích sinh hóa, ngà răng bao gồm:
-
Chất vô cơ (70%): Chủ yếu là tinh thể Hydroxyapatite. Ngoài ra còn có các khoáng chất như Carbonate, Magie và Florua. Thành phần này đảm bảo độ cứng và khả năng chịu lực của răng.
-
Chất hữu cơ (20%): Thành phần chính là Collagen Type I (chiếm 90% lượng hữu cơ), tạo thành mạng lưới sợi giúp răng có tính dẻo dai. Các protein phi collagen khác tham gia vào quá trình khoáng hóa ngà răng.
-
Nước (10%): Đảm bảo sự lưu thông của dịch ngà và duy trì áp suất thẩm thấu trong ống ngà.
2.2. Cấu trúc vi thể chuyên sâu
-
Ống ngà (Dentinal Tubules): Là các ống li ti chạy xuyên suốt bề dày của ngà. Mật độ ống ngà ở gần tủy răng (khoảng 45,000 ống/$mm^2$) cao hơn rất nhiều so với vùng gần men răng (khoảng 20,000 ống/mm2). Đây là lý do vì sao tổn thương ngà càng sâu về phía tủy, cảm giác ê buốt càng dữ dội.
-
Dây Tomes: Là các mấu nguyên sinh chất của tế bào tạo ngà nằm trong ống ngà, thực hiện chức năng cảm giác và tái tạo.
-
Ngà quanh ống và ngà gian ống: Ngà quanh ống có độ khoáng hóa cực cao giúp định hình ống ngà; ngà gian ống chứa nhiều sợi collagen, tạo nên khối lượng chính của mô ngà.
3. Phân loại ngà răng theo phương diện sinh học
Nha khoa hiện đại phân chia ngà răng thành ba loại dựa trên thời điểm hình thành và phản ứng với kích thích:
-
Ngà tiên phát (Primary Dentin): Được hình thành trong quá trình phát triển tự nhiên của răng cho đến khi răng mọc hoàn chỉnh trên cung hàm. Đây là lớp ngà có cấu trúc ổn định và đồng nhất nhất.
-
Ngà thứ phát (Secondary Dentin): Được hình thành liên tục và chậm rãi sau khi răng đã mọc hoàn chỉnh. Quá trình này diễn ra suốt đời, làm hẹp dần buồng tủy theo tuổi tác. Đây là cơ chế thích nghi sinh học tự nhiên.
-
Ngà thứ ba (Tertiary/Reparative Dentin): Chỉ hình thành tại các vị trí răng chịu kích thích mạnh như sâu răng, mòn răng hoặc sang chấn. Ngà thứ ba có cấu trúc không đều, mục đích là tạo thêm rào cản bảo vệ tủy răng trước các tác nhân gây hại từ bên ngoài.
4. Chức năng và vai trò lâm sàng của ngà răng

Ngà răng không đơn thuần là mô nâng đỡ mà còn đóng vai trò là “trung tâm điều phối” các hoạt động sinh lý của răng:
-
Hàng rào bảo vệ nội tại: Ngăn chặn vi khuẩn và độc tố xâm nhập vào mô tủy mềm.
-
Cơ chế dẫn truyền cảm giác: Thông qua thuyết thủy động học (Hydrodynamic theory), sự dịch chuyển dịch trong ống ngà kích thích các thụ thể thần kinh, giúp con người nhận biết được nhiệt độ và áp lực thức ăn.
-
Hệ thống hấp thụ lực nhai: Nhờ tính đàn hồi, ngà răng ngăn ngừa các chấn thương vi thể lên men răng và xương ổ răng.
-
Định hình thẩm mỹ: Ngà răng quy định màu sắc cốt lõi và hình thể của răng.
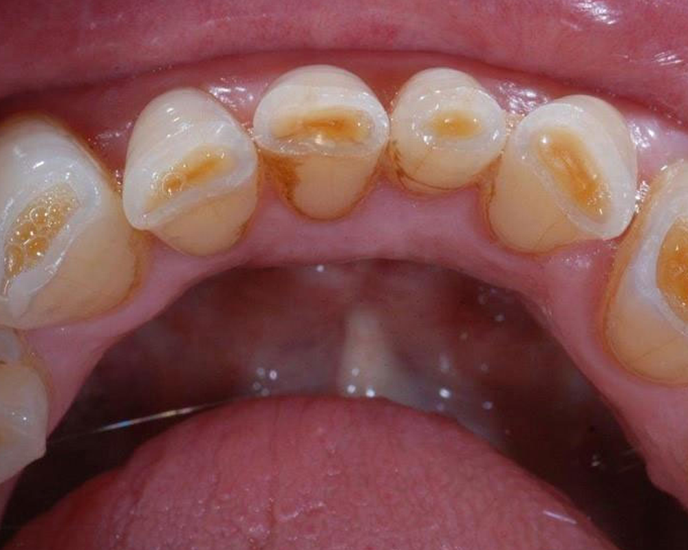
5. Nguyên nhân và triệu chứng ngà răng bị tổn thương (Lộ ngà)

Tình trạng lộ ngà răng xảy ra khi các lớp bảo vệ bên ngoài (men hoặc xê-măng) bị phá hủy hoặc thoái hóa.
5.1. Nguyên nhân chủ đạo
-
Mòn răng cơ học: Do thói quen chải răng quá mạnh, chải ngang hoặc sử dụng kem đánh răng có độ mài mòn cao gây khuyết cổ răng.
-
Mòn răng hóa học (Erosion): Tác động của axit từ thực phẩm, đồ uống có gas hoặc do hội chứng trào ngược dạ dày làm mất khoáng men răng diện rộng.
-
Sâu răng tiến triển: Vi khuẩn phá hủy men răng và tấn công trực tiếp vào ngà. Do ngà răng có độ khoáng hóa thấp hơn men, sâu răng tại lớp ngà lan rộng nhanh chóng theo hướng các ống ngà về phía tủy.
-
Tụt nướu: Các bệnh lý nha chu khiến nướu co lại, làm lộ phần chân răng vốn chỉ được bảo vệ bởi lớp xê-măng mỏng, dễ bị bào mòn làm hở các ống ngà.
-
Chấn thương nứt gãy: Các tai nạn cơ học làm răng bị mẻ, nứt vi thể, tạo điều kiện cho các kích thích xâm nhập sâu vào cấu trúc ngà.
5.2. Triệu chứng lâm sàng
-
Ê buốt răng (Hypersensitivity): Cảm giác đau nhói tức thì khi ăn uống đồ nóng, lạnh, chua hoặc ngọt.
-
Nhạy cảm với áp lực: Đau nhẹ khi chải răng hoặc dùng chỉ nha khoa chạm vào vùng bị tổn thương.
-
Thay đổi sắc thái: Răng xuất hiện các vết đổi màu vàng sậm, nâu hoặc xám tại vị trí men răng bị mòn.
6. Phác đồ điều trị và bảo tồn ngà răng tại Nha khoa Xanh Dental
Tại Xanh Dental, quy trình điều trị ngà răng tổn thương được thực hiện theo tiêu chuẩn nha khoa bảo tồn, đứng đầu bởi ThS.BS Nguyễn Anh Sơn – chuyên gia tu nghiệp tại Harvard và các trung tâm nội nha quốc tế.
6.1. Phương pháp điều trị tại phòng khám
Tùy thuộc vào mức độ lộ ngà và tổn thương, chúng tôi áp dụng các giải pháp sau:
-
Tái khoáng hóa và đóng kín ống ngà: Sử dụng gel Varnish Fluoride nồng độ cao hoặc các hoạt chất chuyên dụng để bịt kín các lỗ mở ống ngà, chấm dứt tình trạng ê buốt ngay lập tức.
-
Hàn trám thẩm mỹ Composite: Đối với các trường hợp sâu ngà hoặc mòn cổ răng. Xanh Dental ứng dụng vật liệu Composite Nano nhập khẩu, có độ tương thích sinh học và màu sắc hoàn hảo, giúp che phủ và bảo vệ lớp ngà răng bị lộ.
-
Bọc răng sứ thẩm mỹ: Chỉ định cho các trường hợp ngà răng bị phá hủy trên 50% diện tích hoặc răng đã lấy tủy. Mão răng sứ đóng vai trò bảo vệ toàn diện, ngăn chặn mọi tác động từ môi trường miệng lên ngà và tủy răng.
-
Dán sứ Veneer sinh học 5.0: Giải pháp bảo tồn tối đa ngà răng thật, chỉ yêu cầu mài cực mỏng (0.2 – 0.5mm), giúp tái tạo thẩm mỹ và bảo vệ ngà răng bị mòn.
6.2. Năng lực vượt trội của Xanh Dental
-
Đội ngũ bác sĩ chuyên khoa: ThS.BS Nguyễn Anh Sơn cùng các cộng sự trực tiếp thăm khám và đưa ra phác đồ. Chúng tôi không chỉ chữa triệu chứng mà tập trung vào việc phục hồi cấu trúc ngà răng bền vững.
-
Phòng Labo 3D tự chủ: Xanh Dental sở hữu hệ thống phòng Lab công nghệ cao, ứng dụng in 3D để chế tác các phục hình bảo vệ răng một cách chính xác tuyệt đối, giúp răng sau điều trị đạt độ khít sát y khoa.
-
Hỗ trợ chi phí qua Bảo hiểm Y tế (BHYT): Xanh Dental thực hiện trách nhiệm xã hội bằng việc áp dụng BHYT vào điều trị bệnh lý (sâu răng, chữa tủy, viêm lợi), giúp khách hàng tiết kiệm 30% chi phí, đảm bảo quyền lợi tối đa cho bệnh nhân.
7. Quy trình phòng ngừa tổn thương ngà răng khoa học
Để duy trì cấu trúc ngà răng khỏe mạnh, Nha khoa Xanh Dental khuyến nghị bệnh nhân tuân thủ các nguyên tắc sau:
-
Vệ sinh đúng kỹ thuật: Sử dụng bàn chải lông mềm, thực hiện chải răng nhẹ nhàng theo chiều dọc hoặc xoay tròn. Sử dụng kem đánh răng chứa Fluoride để tăng cường quá trình tái khoáng men và ngà răng.
-
Kiểm soát chế độ ăn: Hạn chế thực phẩm nhiều axit và đường. Sau khi sử dụng đồ uống có gas, nên súc miệng bằng nước lọc để trung hòa pH trong miệng.
-
Điều trị tật nghiến răng: Đeo máng chống nghiến khi ngủ tại Xanh Dental để bảo vệ men răng khỏi sự mài mòn cơ học quá mức.
-
Khám răng định kỳ 6 tháng/lần: Để vệ sinh vôi răng chuyên nghiệp và phát hiện sớm các dấu hiệu mòn men, sâu ngà giai đoạn khởi phát.
Kết luận
Ngà răng là thành phần cốt lõi quyết định sự sống và độ bền của mỗi chiếc răng. Việc bảo vệ ngà răng chính là bảo vệ tủy răng và duy trì chức năng ăn nhai suốt đời. Khi xuất hiện các dấu hiệu ê buốt hoặc mòn răng, bệnh nhân cần tìm đến các cơ sở nha khoa uy tín để được can thiệp đúng phác đồ.
Tại Nha khoa Xanh Dental, chúng tôi cam kết mang lại giải pháp điều trị tận tâm, ứng dụng công nghệ hiện đại nhằm bảo tồn tối đa cấu trúc răng thật cho mọi khách hàng.

ThS.BS Nguyễn Anh Sơn Vị trí: Giám đốc chuyên môn Nha khoa Xanh Dental. Được thành lập từ năm 2008, Nha khoa Xanh Dental với 17 năm kinh nghiệm và hệ thống máy móc hiện đại, luôn tiên phong trong việc mang đến những dịch vụ nha khoa chất lượng cao cho khách hàng.