Tìm hiểu câu chuyện khách hàng Đỗ Hữu Vang tại Nha khoa Xanh Dental với giải pháp cắm Implant toàn hàm. Phục hồi chức năng ăn nhai, tái tạo thẩm mỹ tự nhiên, mang lại nụ cười tự tin và cuộc sống trọn vẹn hơn. Liên hệ ngay để được tư vấn!
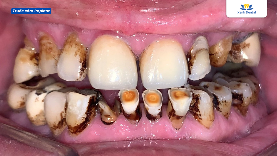
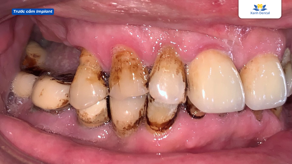
Tình trạng răng miệng ban đầu
Khách hàng Đỗ Hữu Vang đến với Nha khoa Xanh Dental trong tình trạng răng miệng rất nghiêm trọng. Chú mắc phải khớp cắn mòn nghiêm trọng do không được điều trị kịp thời, đồng thời mất nhiều răng quan trọng gây khó khăn lớn trong ăn uống và sinh hoạt. Những răng còn lại của chú Vang cũng không thể duy trì vì chân răng lung lay, viêm nhiễm kéo dài. Ngoài ra, một số răng bị vỡ, mòn, và việc vệ sinh kém càng làm tình trạng trở nên nghiêm trọng hơn.
Tình trạng răng của Chú Vang trước khi cắm Implant
Tình trạng răng của Chú Vang trước khi cắm Implant
Tình trạng răng của Chú Vang trước khi cắm Implant
Chú chia sẻ: “Tôi không chỉ gặp khó khăn khi ăn nhai mà còn rất ngại giao tiếp vì hàm răng của mình. Cảm giác đau nhức và bất tiện khiến tôi mệt mỏi mỗi ngày.”
Phác đồ điều trị Implant được cá nhân hóa tại Xanh Dental
Sau khi kiểm tra và phân tích tình trạng răng miệng bằng công nghệ 3D hiện đại, đội ngũ bác sĩ tại Nha khoa Xanh Dental đã đề xuất giải pháp cắm Implant toàn hàm để phục hồi hoàn toàn chức năng ăn nhai và thẩm mỹ. Kế hoạch điều trị được dẫn dắt bởi ThS.BS Nguyễn Anh Sơn – chuyên gia giàu kinh nghiệm trong lĩnh vực Implant nha khoa.
Quy trình điều trị bao gồm:
Nhổ bỏ các răng lung lay, viêm nhiễm và làm sạch vùng nướu một cách an toàn, hạn chế tối đa đau đớn.
Cắm các trụ Implant chất lượng cao tại các vị trí mất răng, giúp thay thế chân răng tự nhiên và tạo nền tảng vững chắc cho phục hình răng sứ.
Lắp cầu răng sứ cố định, giúp tái tạo hàm răng đều đẹp, chuẩn khớp cắn và đảm bảo chức năng ăn nhai.
Nhờ sử dụng công nghệ cấy ghép Implant tiên tiến, toàn bộ quá trình điều trị diễn ra nhanh chóng, chính xác và an toàn tuyệt đối.
Kết quả sau điều trị cắm Implant của chú Vang
Chỉ sau 3 tháng, chú Đỗ Hữu Vang đã hoàn toàn lột xác với hàm răng mới chắc khỏe và thẩm mỹ tự nhiên. Khớp cắn của chú được phục hồi chuẩn, giúp quá trình ăn uống trở nên dễ dàng và thoải mái. Những cơn đau nhức từng gây khó chịu đã hoàn toàn biến mất, mang lại cho chú cảm giác nhẹ nhàng và dễ chịu mỗi ngày.
Tình trạng răng chú Vang sau quá trình phục hình cắm Implant tại Xanh Dental
Chú Vang chia sẻ đầy tự hào: “Giờ tôi không chỉ ăn uống ngon miệng mà còn tự tin cười nói với mọi người. Hàm răng mới này thực sự làm tôi cảm thấy như trẻ lại!”
Tình trạng răng chú Vang trước và sau khi cắm Implant
Tại sao chú Vang lại lựa chọn Nha khoa Xanh Dental?
Chú Đỗ Hữu Vang đã lựa chọn Nha khoa Xanh Dental để thực hiện cấy ghép Implant nhờ các yếu tố vượt trội sau:
Đội ngũ bác sĩ giàu kinh nghiệm: Được dẫn dắt bởi ThS.BS Nguyễn Anh Sơn, chuyên gia có hơn gần 20 năm kinh nghiệm và đã thực hiện thành công hàng nghìn ca Implant phức tạp.
Công nghệ hiện đại: Ứng dụng công nghệ 3D tiên tiến, đảm bảo quá trình cắm Implant nhanh chóng, an toàn và đạt hiệu quả tối ưu.
Phác đồ điều trị cá nhân hóa: Kế hoạch điều trị được thiết kế riêng biệt cho từng khách hàng, giúp đảm bảo kết quả điều trị chính xác và phù hợp nhất.
Sử dụng vật liệu chất lượng cao: Các trụ Implant và răng sứ đều đến từ các thương hiệu hàng đầu thế giới, đảm bảo độ bền, tính thẩm mỹ và tuổi thọ cao.
Cắm Implant tại Nha khoa Xanh Dental – Giải pháp phục hồi răng tối ưu
Cắm Implant không chỉ giúp chú Đỗ Hữu Vang lấy lại chức năng ăn nhai mà còn khôi phục sự tự tin trong cuộc sống. Phương pháp này mang lại nhiều lợi ích vượt trội, bao gồm:
Phục hồi hoàn toàn răng mất với độ bền cao, chắc khỏe như răng thật.
Tái tạo thẩm mỹ tự nhiên, mang lại nụ cười rạng rỡ.
Đảm bảo khớp cắn chuẩn, giảm thiểu các vấn đề về tiêu hóa và sức khỏe do mất răng lâu ngày.
Giải pháp lâu dài, giúp chú ăn nhai trọn đời mà không lo gặp phải các vấn đề phát sinh.
Lời khuyên từ Nha khoa Xanh Dental
Nếu bạn đang gặp tình trạng mất răng hoặc các vấn đề về răng miệng tương tự như chú Đỗ Hữu Vang, đừng chần chừ. Hãy liên hệ ngay với Nha khoa Xanh Dental để được tư vấn và điều trị kịp thời. Chúng tôi cam kết mang lại cho bạn giải pháp phục hồi răng tối ưu, giúp bạn tự tin hơn với nụ cười khỏe đẹp và một cuộc sống trọn vẹn hơn!

NHA KHOA XANH DENTAL – BẢO TỒN VÀ CHĂM SÓC RĂNG MIỆNG
Địa chỉ: 39 Nguyễn Phong Sắc – Cầu Giấy – Hà Nội
Hotline: 0869 019 000
Fanpage: https://www.facebook.com/nhakhoa.xanhdental
Zalo OA: https://zalo.me/1178379800964736728
Giờ mở cửa : 8h00 – 19h30 Tất cả các ngày trong tuần

ThS.BS Nguyễn Anh Sơn Vị trí: Giám đốc chuyên môn Nha khoa Xanh Dental. Được thành lập từ năm 2008, Nha khoa Xanh Dental với 17 năm kinh nghiệm và hệ thống máy móc hiện đại, luôn tiên phong trong việc mang đến những dịch vụ nha khoa chất lượng cao cho khách hàng.