
Muối (Natri Clorua) từ lâu đã được ghi nhận về khả năng sát khuẩn và hỗ trợ vệ sinh răng miệng do các đặc tính hóa học đặc trưng. Tuy nhiên, việc sử dụng muối để lấy cao răng tại nhà cần được xem xét dưới góc độ y khoa lâm sàng để đảm bảo không gây tổn thương cấu trúc men răng và mô nướu. Bài viết sau đây phân tích chi tiết về cơ chế tác động của muối, phạm vi hiệu quả và phác đồ điều trị cao răng chuyên nghiệp tại Nha khoa Xanh Dental.
1. Cơ chế tác động sinh học của muối trong khoang miệng

Muối không có khả năng phá vỡ các liên kết khoáng hóa cứng chắc của cao răng (Calculus), nhưng nó tham gia vào quá trình ức chế vi khuẩn thông qua các cơ chế sau:
-
Áp suất thẩm thấu: Dung dịch muối nồng độ cao tạo ra môi trường ưu trương, rút nước từ tế bào vi khuẩn thông qua quá trình thẩm thấu, làm vi khuẩn bị mất nước và ức chế sự nhân lên của các tác nhân gây viêm lợi.
-
Trung hòa môi trường axit: Muối giúp kiềm hóa nhẹ môi trường khoang miệng, trung hòa các axit sinh ra từ quá trình chuyển hóa đường của vi khuẩn, từ đó bảo vệ men răng khỏi sự khử khoáng.
-
Tác động vật lý nhẹ: Các tinh thể muối mịn khi tiếp xúc với bề mặt răng tạo ra ma sát cơ học, hỗ trợ loại bỏ các mảng bám mềm (Biofilm) chưa bị khoáng hóa.
-
Hỗ trợ lành thương: Muối có đặc tính tiêu viêm tự nhiên, giúp giảm phù nề mô nướu và kích thích lưu thông máu tại các vùng lợi bị sưng tấy do tích tụ cao răng lâu ngày.
2. Các phương pháp hỗ trợ vệ sinh răng miệng bằng muối tại nhà

Tại Xanh Dental, chúng tôi ghi nhận một số phương pháp sử dụng muối trong cộng đồng. Tuy nhiên, bệnh nhân cần tuân thủ nghiêm ngặt về tần suất để tránh các tổn thương hóa học và cơ học.
2.1. Liệu pháp súc miệng bằng dung dịch nước muối sinh lý
Đây là phương pháp an toàn nhất, giúp loại bỏ vụn thức ăn và giảm tải lượng vi khuẩn trong các kẽ răng.
-
Quy trình: Pha muối tinh với nước ấm theo tỷ lệ 0.9% (tương đương 9g muối cho 1 lít nước).
-
Tác dụng: Súc miệng từ 30-60 giây sau mỗi bữa ăn giúp duy trì pH khoang miệng ổn định và ngăn ngừa mảng bám mới hình thành.
2.2. Kết hợp Muối và Baking Soda (Natri Bicarbonat)
Phương pháp này nâng cao khả năng tẩy sạch các sắc tố ngoại lai bám trên bề mặt men răng.
-
Cơ chế: Baking soda có tính kiềm cao và cấu trúc tinh thể sắc cạnh giúp mài mòn các vết ố.
-
Cảnh báo y khoa: Chỉ số mài mòn đối với men răng là rất cao. Chỉ nên thực hiện tối đa 1 lần/tuần để tránh gây nhạy cảm ngà răng diện rộng.
2.3. Hỗn hợp Muối và dịch chiết Chanh (Axit Citric)
Axit trong chanh có khả năng phân giải một phần cấu trúc protein của mảng bám, kết hợp với muối để sát khuẩn.
-
Rủi ro lâm sàng: Axit Citric là tác nhân gây khử khoáng men răng mạnh. Nếu lạm dụng, răng sẽ trở nên xỉn màu và buốt nhói cấp tính khi tiếp xúc với nhiệt độ.
2.4. Muối kết hợp với Giấm táo hoặc Giấm trắng
Axit axetic trong giấm hỗ trợ làm mềm các mảng bám mới tích tụ.
-
Khuyến cáo: Cần pha loãng tối đa và súc miệng lại bằng nước sạch ngay sau khi thực hiện để bảo vệ lớp màng bảo vệ răng.
2.5. Sử dụng Muối và Dầu dừa (Oil Pulling kết hợp)
Axit lauric trong dầu dừa kết hợp với muối tạo thành một dung dịch có khả năng hấp phụ độc tố vi khuẩn và làm bóng men răng một cách dịu nhẹ nhất trong các phương pháp tại nhà.
3. Phạm vi và giới hạn hiệu quả lâm sàng của muối
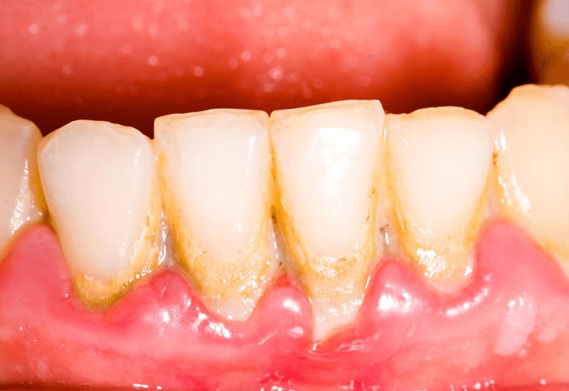
Khách hàng cần phân biệt rõ ràng giữa “mảng bám” (Plaque) và “cao răng” (Calculus) để có kỳ vọng chính xác.
3.1. Trường hợp muối có tác dụng hỗ trợ
-
Mảng bám mềm, mới hình thành dưới 24 giờ.
-
Vết dính thực phẩm nhẹ ở mặt ngoài răng cửa.
-
Hỗ trợ giảm viêm nướu ở giai đoạn khởi phát (Gingivitis).
3.2. Trường hợp muối hoàn toàn không có hiệu quả
-
Cao răng đã khoáng hóa: Khi mảng bám đã kết hợp với các khoáng chất trong nước bọt tạo thành khối cứng (Tartar), muối không thể phá vỡ các liên kết này bằng tác động cơ học thông thường.
-
Cao răng dưới nướu: Muối và bàn chải không thể tiếp cận được các túi nha chu sâu dưới viền lợi.
-
Cao răng đen (Serumal Calculus): Loại cao răng nhiễm sắc tố máu và vi khuẩn sâu bên trong, chỉ có thể xử lý bằng thiết bị chuyên dụng.
4. Những rủi ro và lưu ý y khoa khi sử dụng muối tại nhà
Việc tự ý “lấy cao răng” tại nhà bằng các vật liệu có độ mài mòn cao như muối tiềm ẩn nhiều nguy cơ:
-
Mòn men răng (Atrophy): Các hạt muối thô đóng vai trò như chất mài mòn cơ học. Chà xát mạnh thường xuyên sẽ làm mỏng lớp men, lộ lớp ngà răng vàng bên dưới và gây ê buốt mãn tính.
-
Kích ứng mô nướu: Nồng độ muối quá cao hoặc các tinh thể muối sắc nhọn có thể gây trầy xước, bỏng niêm mạc nướu, dẫn đến tình trạng tụt lợi lộ chân răng.
-
Mất cân bằng hệ vi sinh: Việc sử dụng các chất sát khuẩn mạnh thường xuyên vô tình tiêu diệt cả lợi khuẩn, tạo điều kiện cho nấm lưỡi và các vi khuẩn cơ hội phát triển.
-
Chủ quan trước bệnh lý: Bệnh nhân lầm tưởng răng đã sạch sau khi dùng muối, dẫn đến việc bỏ qua các buổi khám định kỳ, khiến cao răng dưới nướu âm thầm gây viêm nha chu và tiêu xương hàm.
5. Khi nào bạn bắt buộc phải đến nha khoa lấy cao răng?

Nha khoa Xanh Dental khuyến nghị bệnh nhân thực hiện lấy cao răng chuyên nghiệp định kỳ 6 tháng/lần. Tuy nhiên, cần can thiệp ngay nếu xuất hiện các dấu hiệu:
-
Hơi thở có mùi (Halitosis): Dù đã vệ sinh kỹ nhưng vẫn có mùi hôi dai dẳng từ các ổ vi khuẩn trong cao răng.
-
Chảy máu nướu răng: Xuất hiện máu khi chải răng hoặc súc miệng – dấu hiệu của viêm lợi tiến triển.
-
Răng xỉn màu rõ rệt: Các mảng bám vàng hoặc nâu đen bám chắc tại vùng cổ răng và mặt trong răng hàm.
-
Tụt lợi và lung lay răng: Cao răng lấn sâu xuống chân răng, phá hủy dây chằng nha chu.
6. Phác đồ lấy cao răng chuẩn y khoa tại Nha khoa Xanh Dental
Tại Xanh Dental, chúng tôi thay thế các phương pháp mài mòn thủ công bằng công nghệ sóng siêu âm hiện đại, mang lại hiệu quả tuyệt đối và an toàn cho men răng.
6.1. Công nghệ siêu âm Piezotome thế hệ mới
Dưới sự dẫn dắt của ThS.BS Nguyễn Anh Sơn (Tu nghiệp Harvard), quy trình lấy cao răng sử dụng đầu rung siêu âm với tần số từ 25-45 kHz.
-
Cơ chế: Sóng siêu âm tạo ra các rung động tinh vi, tác động trực tiếp vào các liên kết của cao răng, làm chúng tự vỡ ra mà không cần lực tác động mạnh lên men răng.
-
Ưu điểm: Loại bỏ sạch hoàn toàn cao răng ở cả những vị trí sâu nhất dưới nướu, không gây chảy máu, không ê buốt và tuyệt đối không tổn thương nướu.
6.2. Quy trình 4 bước chuyên sâu
-
Thăm khám và Chẩn đoán: Bác sĩ kiểm tra mức độ cao răng và tình trạng nướu.
-
Vệ sinh siêu âm: Loại bỏ cao răng trên và dưới nướu bằng máy Piezotome.
-
Đánh bóng răng chuyên sâu: Sử dụng bột đánh bóng sinh học làm nhẵn bề mặt răng, ngăn ngừa mảng bám tái hình thành.
-
Hướng dẫn chăm sóc y khoa: Tư vấn chế độ dinh dưỡng và vệ sinh răng miệng cá nhân hóa.
6.3. Trách nhiệm xã hội và hỗ trợ chi phí qua Bảo hiểm Y tế
Xanh Dental luôn đồng hành cùng khách hàng trong việc chăm sóc răng miệng với chi phí tối ưu. Chúng tôi áp dụng chính sách Bảo hiểm Y tế (BHYT) cho dịch vụ lấy cao răng bệnh lý và điều trị viêm lợi, giúp khách hàng tiết kiệm ngay 30% chi phí. Đây là minh chứng cho sứ mệnh “Phục vụ khách hàng là lý do duy nhất để tồn tại” của chúng tôi.
7. Tại sao khách hàng tin chọn Nha khoa Xanh Dental?
Với 17 năm kinh nghiệm (từ năm 2008), Xanh Dental khẳng định vị thế nhờ:
-
Đội ngũ chuyên gia: Các bác sĩ giàu kinh nghiệm, tu nghiệp quốc tế, trực tiếp thực hiện quy trình nhẹ nhàng, tận tâm.
-
Thiết bị hiện đại: Hệ thống vô trùng tiêu chuẩn quốc tế và phòng Labo 3D tự chủ giúp hỗ trợ các trường hợp răng bị tổn thương men do tự lấy cao răng sai cách.
-
Môi trường điều trị chuyên nghiệp: Không gian sạch sẽ, quy trình phục vụ chu đáo, mang lại cảm giác an tâm tuyệt đối cho khách hàng.
Kết luận
Sử dụng muối là một phương pháp hỗ trợ vệ sinh răng miệng hiệu quả tại nhà, nhưng hoàn toàn không thể thay thế cho thủ thuật lấy cao răng chuyên nghiệp tại nha khoa. Việc lạm dụng muối hoặc sử dụng sai cách có thể dẫn đến các biến chứng mòn men và tổn thương nướu không thể phục hồi. Để bảo vệ nụ cười khỏe mạnh, quý khách hàng nên thăm khám định kỳ và lựa chọn các giải pháp lấy cao răng bằng công nghệ cao.
Mọi thắc mắc về tình trạng cao răng và các dịch vụ nha khoa bảo tồn, quý khách vui lòng liên hệ trực tiếp với Nha khoa Xanh Dental để được đội ngũ chuyên gia tư vấn chi tiết.

ThS.BS Nguyễn Anh Sơn Vị trí: Giám đốc chuyên môn Nha khoa Xanh Dental. Được thành lập từ năm 2008, Nha khoa Xanh Dental với 17 năm kinh nghiệm và hệ thống máy móc hiện đại, luôn tiên phong trong việc mang đến những dịch vụ nha khoa chất lượng cao cho khách hàng.